Related Subjects:
|Neurological History taking
|Alzheimer disease
|Dementia with Lewy bodies
|Frontotemporal dementia
|Corticobasal degeneration
|Creutzfeldt Jakob disease
|Vascular Dementia
|Ischaemic Stroke
|Hypertension
|CADASIL
|CARASIL
| ๐ซ Reasons why MRI may not be possible |
- ๐ MRI scanner unavailable, Swan-Ganz catheter in situ
- ๐งฒ Brain aneurysm clips (check with manufacturer), deep brain stimulator
- ๐๏ธ Ocular metallic foreign bodies (skull X-ray can help exclude)
- ๐ฅ Patient too ill to monitor safely in MRI environment
- ๐ฐ Extreme claustrophobia
- โค๏ธ Pacemaker/AICD, recent surgery with clips or metallic implants
- ๐ Insulin pumps, neurostimulators, cochlear implants may be de-programmed
- ๐ Unable to lie flat (MSK or cardiorespiratory reasons, kyphosis, obesity)
- ๐ซ Bullets or gunshot pellets near vital organs (lungs, heart, brain)
- ๐คฐ Early pregnancy (relative C/I โ limited data)
- ๐ง Cognitive impairment or agitation (sometimes sedation required)
|
๐งฒ MRI Basics
- โก Unlike CT, which uses ionising radiation, MRI uses radio waves + magnetic fields. โ
No radiation risk.
- ๐ธ MRI provides high-resolution, multiplanar imaging (axial, sagittal, coronal, oblique).
- ๐ฌ CT pixel intensity = electron density; MRI = hydrogen (Hโบ nuclei) density modified by tissue relaxation times (T1, T2).
- ๐ Hydrogen protons align in strong magnetic field; gradients encode spatial location.
- ๐ ๏ธ MRI components: main magnet, gradient coils, RF transmitter/receiver, computer for image reconstruction.
- ๐ก Emitted โspin echoโ at the Larmor frequency โ Fourier transform โ detailed image.
๐ก Teaching pearl: MRI signal depends not only on hydrogen density but also on tissue environment (T1, T2 relaxation, flow, diffusion).
โ ๏ธ Challenges of MRI Scanning
- โฑ๏ธ Scan duration: 10โ30 min โ difficult for claustrophobic/anxious patients.
- ๐ MRI is noisy; limited communication during scan.
- ๐ฅ Open MRI exists for claustrophobia, but limited availability.
- ๐ฏ Aim: shortest protocol to answer the clinical question.
๐ธ Examples
| T2 FLAIR | T2 |
 |  |
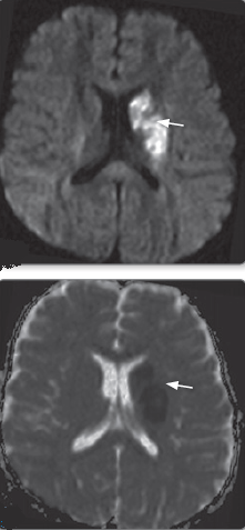
| DWI | ADC |
 |  |
| SWI | T1 Sagittal |
 |  |
๐ก๏ธ MRI Safety Considerations
- Most prosthetic valves, IVC filters, vascular stents, IUDs, and metallic prostheses are MRI-safe โ
.
- Key risk = movement or heating of ferromagnetic implants. Always check manufacturer guidance.
- Resources: MRI Contraindications Policy
| MRI Safety.com
๐ MRI with Gadolinium
- Contrast shortens T1 โ brighter images. Used for tumours, inflammation, abscess, meningitis.
- Not usually needed in acute stroke unless diagnostic uncertainty.
๐ Understanding MRI Sequences
- โณ T1: Fat bright, CSF dark. Best for anatomy. Acute stroke = hypointense.
- ๐ง T2: Water bright, fat darker. Best for oedema/infarcts.
- โญ T2* / GRE: Detects blood products, iron, microbleeds.
- ๐ซ FLAIR: Suppresses CSF signal โ highlights periventricular oedema/lesions.
- โก DWI/ADC: Bright in acute ischaemic stroke (cytotoxic oedema).
- ๐งฒ SWI: Very sensitive to blood/iron โ detects microbleeds & calcification.
๐ง Imaging Patterns in Stroke
| Condition | Imaging Characteristics |
| ๐ Acute Ischaemic Stroke | DWI bright (acute), ADC low; FLAIR/T2 hyperintense after few hours; GRE may show thrombosis. |
| โค๏ธ Cardioembolic Stroke | Multiple vascular territories, varying lesion ages. |
| ๐ฏ Lacunar Stroke | Small, round lesions (<1.5 cm) in deep brain regions (thalamus, pons, internal capsule). |
| ๐งต Carotid Dissection | Fat-suppressed T2 shows thrombus; CTA/MRA for obstruction. |
| ๐ Basilar Artery Occlusion | Hyperdense basilar sign (CT), confirmed on CTA/MRA. |
๐ฉธ Imaging Patterns in Haemorrhage
| ๐ฅ Hypertensive Haemorrhage | Common in putamen, thalamus, pons. GRE/T2* sensitive to microbleeds. |
| ๐ง Cerebral Amyloid Angiopathy | Microbleeds in temporal/occipital lobes; GRE/T2* detects 2 mm bleeds. |
๐ Exam pearls:
- DWI = most sensitive for acute stroke (<30 mins).
- GRE/T2* = microbleeds and haemorrhage detection.
- FLAIR = MS plaques, periventricular oedema.
- T1 = anatomy & post-contrast detail.