๐ง Brain MRI Basics
Magnetic Resonance Imaging (MRI) is an advanced, non-ionizing imaging technique that provides highly detailed images of the brain and spinal cord. Unlike CT, which is largely limited to axial views, MRI can image in any plane (axial, sagittal, coronal), making it invaluable in neuroimaging.
- Uses radio waves + magnetic fields (no radiation โข๏ธ).
- Signal depends on hydrogen atoms and tissue relaxation times (T1, T2), not electron density (as in CT).
- Excellent soft-tissue contrast โ gold standard for CNS pathology.
โ๏ธ How MRI Works
- Hydrogen nuclei alignment: Protons align in strong magnetic field โ net magnetization.
- Larmor frequency: Radiofrequency pulses excite protons; when relaxed, they emit measurable signals.
- Spin echo & Fourier transform: Signals are reconstructed into high-resolution images.
โ ๏ธ Limitations & Contraindications
Typical scan time: 10โ30 mins. Narrow, noisy scanner โ difficult for claustrophobic patients.
| Contraindications ๐ซ |
|---|
|
๐ฏ Key MRI Sequences
- T1WI: Anatomy ๐๏ธ; fat bright, CSF dark. Useful for structural details & gadolinium enhancement.
- T2WI: Pathology ๐ฆ; CSF/edema bright. Sensitive to tumours, inflammation, demyelination.
- FLAIR: T2 variant suppressing CSF; highlights periventricular lesions (e.g. MS).
- DWI: Stroke sequence โก; detects restricted diffusion within minutes.
- ADC maps: Confirm true restriction vs T2 shine-through.
- GRE/SWI: Blood ๐ฉธ & iron; detects microbleeds, calcification, cavernomas.
๐ Gadolinium Contrast
- Highlights breakdown of bloodโbrain barrier (tumours, abscesses, MS plaques).
- Risk: nephrogenic systemic fibrosis in CKD (eGFR <30) โ use only if essential.
๐งพ Common Indications
- Stroke: DWI = most sensitive; FLAIR = chronic lesions.
- Tumours: MRI + gadolinium = precise margins & infiltration.
- MS: Periventricular โDawsonโs fingersโ best seen on FLAIR.
- Dementia: Hippocampal atrophy (AD), frontotemporal atrophy (FTD).
- Infections: Abscess vs cyst; DWI helpful.
- Spinal cord disease: MS plaques, compression, tumours.
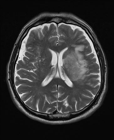
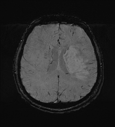
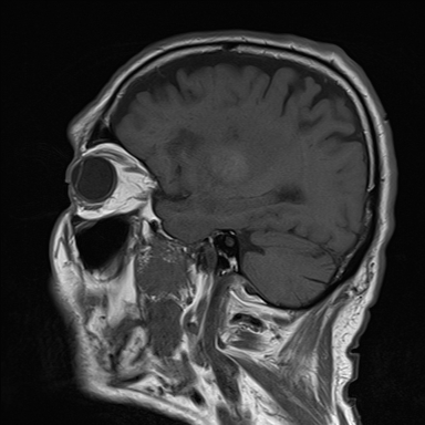
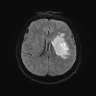
๐ผ๏ธ Example Sequences
| T2 FLAIR | T2 |
|---|---|
![]() |
![]() |
| DWI | ADC |
![]() |
![]() |
| SWI | T1 Sagittal |
![]() |
![]() |
๐ CT vs MRI: Quick Comparison
| Feature | CT | MRI |
|---|---|---|
| Speed | โ Fast (emergency stroke, trauma) | โณ Slower (10โ30 min) |
| Radiation | โข๏ธ Yes | ๐ซ No |
| Best for | Bone, acute haemorrhage, trauma | Soft tissues, tumours, demyelination, stroke (DWI) |
| Stroke (acute) | Excludes bleed | Detects infarct early โก |
๐ MRI Sequences Cheat-Sheet
| Sequence | Whatโs Bright โจ | Whatโs Dark โซ | Main Uses ๐ฏ |
|---|---|---|---|
| T1-Weighted (T1WI) | Fat, subacute haemorrhage, gadolinium contrast | CSF, edema | Anatomy, post-contrast enhancement, haemorrhage staging |
| T2-Weighted (T2WI) | CSF, edema, demyelination, most pathology | Fat, calcification, acute haemorrhage | Pathology detection (tumours, inflammation, MS plaques) |
| FLAIR | Edema, gliosis, demyelination near CSF spaces | CSF (suppressed), normal fluid | MS, periventricular lesions, subarachnoid space pathologies |
| DWI (Diffusion-Weighted) | Restricted water diffusion (acute stroke, abscess) | Normal brain tissue, vasogenic edema | Hyperacute stroke โก, abscess vs cyst, encephalitis |
| ADC Map | Normal diffusion (bright) | Restricted diffusion (dark in stroke) | Confirms true restriction (differentiate stroke vs T2 shine-through) |
| SWI / GRE | Calcification, veins | Blood products, iron, microbleeds | Haemorrhage ๐ฉธ, cavernomas, traumatic brain injury, neurodegeneration |
๐ง Exam Tip: โBright on T2, pathology trueโ โ most pathologies are hyperintense on T2. Always check DWI + ADC for stroke.
โ Conclusion
MRI is indispensable in neuroimaging โ unrivalled for CNS detail, guiding diagnosis and management of stroke, tumours, infections, MS, dementia, and spinal disease. With its range of sequences and contrast options, it provides both structural and functional insights, shaping modern neurology and neurosurgery practice.





