• @About this App Makindo
  • @Contributers
  • @Developer and Author
  • @Join Team Makindo
  • @Makindo Questions
  • @Privacy and Data Policy
  • ACTH (Adrenocorticotropic hormone)
  • AF and Anticoagulation โœ…
  • AFP (Alpha-fetoprotein) Testing
  • AIDS (HIV) Neurological Disease
  • AIDS (HIV) Respiratory disease
  • AIDS Dementia Complex (HIV) โœ…
  • AIDS HAART Antiretroviral Drugs โœ…
  • AIDS HIV Infection and a Fever โœ…
  • AIDS(HIV) Gastrointestinal Disease โœ…
  • APGAR Scoring (Children)
  • APTT and Coagulation
  • Abacavir ๐Ÿ’Š
  • Abatacept ๐Ÿ’Š
  • Abbey Pain Scale
  • Abbreviated Mental Test Score (AMTS)
  • Abciximab ๐Ÿ’Š
  • Abdominal Aortic Aneurysm (AAA) โœ…
  • Abdominal Distension
  • Abdominal Mass (Child health)
  • Abdominal Masses: Clinical Approach and Considerations
  • Abdominal X Ray Collections
  • Abdominal X-Ray (AXR)
  • Abdominal paracentesis for ascites
  • Abducent Nerve (Cranial Nerve VI)
  • Abetalipoproteinemia (Bassen-Kornzweig Syndrome)
  • Abnormal Involuntary Movements
  • Abnormal eating exercising behaviour (Children)
  • Abnormal urinalysis
  • Abscess - General
  • Absence Seizure
  • Acamprosate ๐Ÿ’Š
  • Acanthocytes
  • Acanthosis Nigricans
  • Acarbose ๐Ÿ’Š
  • Accelerated Idioventricular Rhythm โค๏ธ
  • Accessory Nerve (Cranial Nerve XI)
  • Acetazolamide ๐Ÿ’Š
  • Acetylcholine Receptor Antibodies
  • Acetylcholinesterase inhibitors
  • Achalasia
  • Achenbachโ€™s syndrome
  • Achilles Tendon rupture
  • Achondroplasia โœ…
  • Aciclovir ๐Ÿ’Š
  • Acid maltase deficiency (Pompe disease)
  • Acid-Base abnorrmalities
  • Acne Vulgaris โœ…
  • Acoustic Neuroma โœ…
  • Acquired Long QT syndrome (LQTS)
  • Acrodermatitis enteropathica (Children)
  • Acromegaly and Giantism โœ…
  • Acromio-clavicular joint
  • Actinic Keratosis
  • Actinomyces israeli
  • Action Potential Neuron Versus Cardiac Ventricular Myocyte
  • Activated Charcoal
  • Active Proctitis โœ…
  • Actrapid (Insulin) ๐Ÿ’Š
  • Acute (Ascending) Cholangitis โœ…
  • Acute Abdomen - Perforation of a Viscus
  • Acute Abdominal Pain (OSCE focused)
  • Acute Abdominal Pain - Children โœ…
  • Acute Abdominal Pain in Adults
  • Acute Acalculous Cholecystitisโœ…
  • Acute Airway Obstruction
  • Acute Anaphylactoid Reactions
  • Acute Anaphylaxis โœ…
  • Acute Appendicitis (OSCE focused)
  • Acute Appendicitis in Children โœ…
  • Acute Appendicitis โœ…
  • Acute Bacterial Meningitis (Adults) โœ…
  • Acute Bacterial Meningitis in Children โœ…
  • Acute Bacterial Prostatitis โœ…
  • Acute Blepharitis
  • Acute Bronchitis โœ…
  • Acute Cardiogenic Pulmonary Oedema (CPO/LVF) โค๏ธ
  • Acute Change in Vision or Vision Loss (OSCE focused)
  • Acute Chest Syndrome (Sickle Cell) โœ…
  • Acute Cholecystitis โœ…
  • Acute Colonic Pseudo-obstruction
  • Acute Compartment Syndrome
  • Acute Coronary Syndrome (ACS) NSTEMI USA โค๏ธ
  • Acute Coronary Syndrome (ACS) STEMI โค๏ธ
  • Acute Coronary Syndrome (ACS): Chest Pain โค๏ธ
  • Acute Coronary Syndrome (ACS): Complications
  • Acute Coronary Syndrome Grace score โค๏ธ
  • Acute Coronary Syndrome TIMI Score
  • Acute Coronary Syndrome: Cardiac Thrombolysis โค๏ธ
  • Acute Coronary Syndrome: LBBB and AMI
  • Acute Coronary Syndrome: Overview
  • Acute Coronary Syndrome: Unstable Angina
  • Acute Coronary: Percutaneous Coronary Intervention
  • Acute Delirium
  • Acute Disc Prolapse
  • Acute Disseminated Encephalomyelitis
  • Acute Dystonic Reaction
  • Acute Encephalitis
  • Acute Eosinophilic Pneumonia
  • Acute Epiglottitis
  • Acute Exacerbation of COPDโœ…
  • Acute Fatty Liver of Pregnancy
  • Acute Glaucoma
  • Acute Glomerulonephritis in Children โœ…
  • Acute Hepatic Porphyrias โœ…
  • Acute Hepatitis and Acute Liver disease
  • Acute Hydrocephalus
  • Acute Hypotension โœ…
  • Acute Inflammation
  • Acute Intermittent Porphyria (AIP)
  • Acute Interstitial nephritis
  • Acute Joint Pain and Swelling (Children)
  • Acute Kidney Injury โœ…
  • Acute Limb Ischaemia
  • Acute Liver Disease & Acute Liver Failure โœ…
  • Acute Lymphangitis
  • Acute Lymphoblastic Leukaemia (ALL) โœ…
  • Acute Monoarthritis
  • Acute Myeloblastic Leukaemia (AML) โœ…
  • Acute Myocarditis โœ…
  • Acute Neck Injury (no fracture)
  • Acute Necrotizing Ulcerative Gingivitis
  • Acute Pancreatitis โœ…
  • Acute Pericarditis โœ…
  • Acute Phase reactants
  • Acute Promyelocytic Leukaemia (APML)
  • Acute Psychosis / Agitation
  • Acute Pyelonephritis and Urosepsis (UTI) โœ…
  • Acute Radiation Syndromes
  • Acute Renal / Ureteric Colic and Urinary Tract Stones โœ…
  • Acute Respiratory Distress Syndrome (ARDS)โœ…
  • Acute Retroviral Syndrome (HIV)
  • Acute Rhabdomyolysis โœ…
  • Acute Right-Sided Weakness (OSCE focused) ๐Ÿง 
  • Acute Rotator Cuff Tear
  • Acute Severe Asthma (Status Asthmaticus)โœ…
  • Acute Severe Colitis
  • Acute Stroke Care Guidance UK Ireland 2023
  • Acute Tracheitis
  • Acute Urinary Retention
  • Acute Uterine Haemorrhage โœ…
  • Acute and Chronic Diarrhoea โœ…
  • Acute and Chronic Gout โœ…
  • Acute on Chronic Liver Disease Decompensation
  • Acute rash (Child Health)
  • Acutely Ill Critical care patient with High NEWS
  • Acutely Ill Patient with Parkinson's disease
  • Adalimumab ๐Ÿ’Š
  • Addenbrooke's Cognitive Examination-Revised (ACER)
  • Addison Disease (Adrenal Insufficiency)
  • Adefovir ๐Ÿ’Š
  • Adenocarcinoma of the Ampulla of vater
  • Adenosine deaminase deficiency
  • Adenosine ๐Ÿ’Š
  • Adhesive Capsulitis (Frozen Shoulder) โœ…
  • Administer IV Injection
  • Adrenal Adenomas
  • Adrenal Cancer
  • Adrenal Masses Incidentalomas
  • Adrenal crises (Paediatric) โœ…
  • Adrenaline (Epinephrine) ๐Ÿ’Š
  • Adrenoleukodystrophy
  • Adrenomyeloneuropathy
  • Adult Hypertension โœ…
  • Adult Onset Stills Disease
  • Adult Polycystic kidney disease โœ…
  • Adverse Drug Effects
  • African Trypanosomiasis (Sleeping sickness)
  • Age-Related Macular Degeneration (ARMD)
  • Aicardi syndrome
  • Air Embolism โœ…
  • Alberta Stroke program Early CT score (ASPECT) scoring system
  • Albumin
  • Albumin-Protein Creatinine Ratio (PCR)
  • Alcohol Metabolism
  • Alcohol Withdrawal (Delirium Tremens)
  • Alcoholic Hepatitis
  • Alcoholic Ketoacidosis
  • Aldosterone
  • Alendronate (Alendronic acid) ๐Ÿ’Š
  • Alfacalcidol ๐Ÿ’Š
  • Algorithms
  • Alkaline phosphatase (ALP)
  • Alkalinisation of urine
  • Alkaptonuria
  • Allergic Bronchopulmonary Aspergillosis
  • Allergic Rhinitis
  • Allergic disorders
  • Allergies
  • Allogeneic stem cell transplantation
  • Allopurinol ๐Ÿ’Š
  • Alogliptin (Vipidia) ๐Ÿ’Š
  • Alopecia Areata
  • Alopecia โœ…
  • Alpha Thalassaemia โœ…
  • Alpha subunit (ASU) of TSH
  • Alpha-1 Antitrypsin (AAT) deficiency
  • Alport's Syndrome
  • Alteplase ๐Ÿ’Š
  • Altitude sickness / Acute Mountain sickness
  • Aluminium and Magnesium Antacids
  • Alveolar Gas Equation
  • Alzheimer disease (Dementia) โœ…
  • Amantadine ๐Ÿ’Š
  • Amaurosis fugax
  • Amblyopia
  • Ameloblastoma
  • Amenorrhoea
  • American Trypanosomiasis (Chagas Disease)
  • Amiloride
  • Amino acids
  • Aminoglycosides ๐Ÿ’Š
  • Aminophylline ๐Ÿ’Š
  • Aminosalicylates ๐Ÿ’Š
  • Amiodarone and Thyroid disease
  • Amiodarone ๐Ÿ’Š
  • Amitriptyline ๐Ÿ’Š
  • Amlodipine ๐Ÿ’Š
  • Ammonia Encephalopathy
  • Amnestic syndromes and Memory Disorders
  • Amoebiasis Amoebic (Entamoeba histolytica)
  • Amoxicillin ๐Ÿ’Š
  • Amphetamine toxicityโš ๏ธ
  • Amphotericin B ๐Ÿ’Š
  • Ampicillin ๐Ÿ’Š
  • Amputations
  • Anaemia (Child Health)
  • Anaemia (Pregnancy)
  • Anaemia in Chronic Kidney Disease
  • Anaemia of Chronic Disease โœ…
  • Anaemia: Assessment โœ…
  • Anagrelide ๐Ÿ’Š
  • Anakinra ๐Ÿ’Š
  • Anal Cancer โœ…
  • Anal Fissure
  • Analgesic Nephropathy
  • Anaromy and Physiology of the Brain
  • Anatomy and Phsyiology of the Ear
  • Anatomy and Physiology of the Pituitary
  • Anatomy and Physiology of Cilia
  • Anatomy and Physiology of Female Genitalia and Reproduction
  • Anatomy and Physiology of Male Genitalia
  • Anatomy and Physiology of Nerves
  • Anatomy and Physiology of Ribs and Chest Wall
  • Anatomy and Physiology of Small Bowel
  • Anatomy and Physiology of the Abdomen
  • Anatomy and Physiology of the Adrenal Gland
  • Anatomy and Physiology of the Basal Ganglia
  • Anatomy and Physiology of the Biliary system
  • Anatomy and Physiology of the Bladder
  • Anatomy and Physiology of the Bone Marrow
  • Anatomy and Physiology of the Brainstem
  • Anatomy and Physiology of the Breast
  • Anatomy and Physiology of the Cauda equina
  • Anatomy and Physiology of the Cerebellum
  • Anatomy and Physiology of the Cerebral Cortex
  • Anatomy and Physiology of the Coronary Arteries
  • Anatomy and Physiology of the Diaphragm
  • Anatomy and Physiology of the Eye
  • Anatomy and Physiology of the Glomerulus
  • Anatomy and Physiology of the Heart
  • Anatomy and Physiology of the Kidneys
  • Anatomy and Physiology of the Large Bowel (Colon, Rectum, Anal Canal)
  • Anatomy and Physiology of the Larynx
  • Anatomy and Physiology of the Liver
  • Anatomy and Physiology of the Lungs
  • Anatomy and Physiology of the Nose
  • Anatomy and Physiology of the Oesophagus
  • Anatomy and Physiology of the Ovary
  • Anatomy and Physiology of the Pancreas
  • Anatomy and Physiology of the Parathyroid Gland
  • Anatomy and Physiology of the Pelvis
  • Anatomy and Physiology of the Pharynx
  • Anatomy and Physiology of the Rectum
  • Anatomy and Physiology of the Spinal Cord
  • Anatomy and Physiology of the Spine
  • Anatomy and Physiology of the Spleen
  • Anatomy and Physiology of the Stomach
  • Anatomy and Physiology of the Thorax
  • Anatomy and Physiology of the Thymus Gland
  • Anatomy and Physiology of the Thyroid Gland
  • Anatomy and Physiology of the Uterus and Fallopian Tubes
  • Anatomy and Physiology of the Vascular System
  • Anatomy and Physiology of the vagina
  • Anatomy and Physiology: Human
  • Anatomy of Cells and Physiology
  • Anatomy of Dentistry
  • Anatomy of the Hand
  • Anatomy of the Inguinal and Femoral canal
  • Anatomy of the Muscles
  • Anatomy of the Skin
  • Anatony and Physiology of the Nephron
  • Andexanet alfa
  • Androgen insensitivity syndrome
  • Aneurysms, ischaemic limb and occlusions
  • Angina bullosa haemorrhagica
  • Angiodysplasia
  • Angiomyolipoma
  • Angioneurotic Oedema
  • Angiotensin Converting Enzyme Inhibitors
  • Angiotensin Converting enzyme (ACE) ๐Ÿ’Š
  • Angular Stomatitis - Cheilitis
  • Anion Gap and Metabolic Acidosis
  • Ankle-Brachial Pressure Index (OSCE focused)
  • Ankylosing spondylitis
  • Anogenital Warts (HPV) โœ…
  • Anomalous Coronary Arteries
  • Anorexia Nervosa
  • Anosmia
  • Antacid medication
  • Anterior / Medial Medullary Infarct (Dejerine Syndrome)
  • Anterior Choroidal Artery Ischaemic Stroke
  • Anterior Cruciate ligament injury
  • Anterior Horn Cell diseases
  • Anterior Spinal Cord syndrome
  • Anterior circulation Brain
  • Anthrax (Bacillus anthracis)
  • Anti microbial stewardship โœ…
  • Anti-Citrullinated Protein Antibody (ACPA)
  • Anti-D immunoglobulin
  • Anti-Hu antibodies
  • Anti-NMDA (NMDAR) receptor encephalitis
  • Anti-OKT3 antibodies
  • Anti-RNP Antibody
  • Anti-Yo antibodies
  • Anti-neutrophilic cytoplasmic antibodies (ANCA)
  • Antiarrhythmic agents
  • Antibiotic Guidelinesโœ…
  • Antibiotics Mechanisms
  • Antibiotics for Abdominal Infections
  • Anticholinergic Burden
  • Anticholinergic syndrome
  • Anticipation
  • Anticoagulation and Antithrombotic
  • Antidiuretic hormone (Vasopressin)
  • Antigen presenting cells
  • Antimicrobial Choices
  • Antimicrobial agents
  • Antimuscarinic drugs ๐Ÿ’Š
  • Antiphospholipid Syndrome
  • Antithrombin III deficiency (AT3)
  • Anuria and Oliguria
  • Anxiety Phobias and OCD
  • Anxiety disorder: generalised (GAD)
  • Aortic Dissection โœ…
  • Aortic Regurgitation โœ…
  • Aortic Sclerosis
  • Aortic Stenosis โœ…
  • Aortoenteric fistula
  • Apathetic thyrotoxicosis
  • Apixaban ๐Ÿ’Š
  • Aplastic anaemia โœ…
  • Apomorphine ๐Ÿ’Š
  • Apoptosis
  • Appendix Cancer Tumours
  • Approach to the Child with Respiratory Distress
  • Apraxia
  • Arachnoid cyst
  • Arnold Chiari malformation
  • Arrhythmias
  • Arrhythmogenic Right Ventricular Cardiomyopathy
  • Artemisinins ๐Ÿ’Š
  • Arterial blood gas sampling
  • Arterial thrombosis
  • Arteriovenous Malformations
  • Artery of Percheron stroke
  • Artery-to-artery embolic stroke
  • Artesunate
  • Arthritis Diagnosis Compared
  • Arthrocentesis and Synovial fluid analysis
  • Asbestos Related Lung disease
  • Ascites โœ…
  • Aspergilloma
  • Aspergillus fumigatus
  • Aspirin ๐Ÿ’Š
  • Aspirin/Salicylate Toxicity
  • Assessing Hearing Loss
  • Assessing Significance
  • Assessing a Patient who is Shocked
  • Assessing and Painful Red eye
  • Assessment of Causes of Nausea ๐Ÿคข
  • Assessment of causes of Vaginal Discharge
  • Asteatotic eczema
  • Asthma COPD overlap syndrome
  • Asthmaโœ…
  • Astigmatism
  • Astrocytomas
  • Ataxia Telangiectasia
  • Atazanavir ๐Ÿ’Š
  • Atenolol ๐Ÿ’Š
  • Atherosclerosis โค๏ธ
  • Atorvastatin ๐Ÿ’Š
  • Atracurium
  • Atrial Ectopic beats
  • Atrial Fibrillation and Rhythm Control โœ…
  • Atrial Natriuretic Peptide (ANP)
  • Atrial myxoma โค๏ธ
  • Atrial septal defect (ASD) โœ…
  • Atrioventricular Block
  • Atrioventricular Nodal Reentrant Tachycardia AVNRT โค๏ธ
  • Atrophic vaginitis
  • Atropine Sulfate ๐Ÿ’Š
  • Attention deficit hyperactivity disorder
  • Auditory hallucinations
  • Autism spectrum disorder
  • Autoimmune Haemolytic anaemia (AIHA) โœ…
  • Autoimmune Hepatitis โœ…
  • Autoimmune Liver Disease Table โœ…
  • Autoimmune Polyendocrine Syndromes
  • Automatic Implantable Cardioverter Defibrillator (AICD)
  • Autonomic Nervous System
  • Autonomic neuropathy โœ…
  • Autosomal Dominant
  • Autosomal Recessive
  • Avascular Necrosis of Femoral head
  • Axillary Nerve
  • Azathioprine ๐Ÿ’Š
  • Azithromycin ๐Ÿ’Š
  • B lymphocytes
  • BRASH syndrome
  • BRCA genes (Familial Breast Cancer)
  • Bacillary Dysentery
  • Bacillus cereus poisoning
  • Back pain โœ…
  • Backpain / Backache
  • Baclofen ๐Ÿ’Š
  • Bacteria and their Infections
  • Bacterial Vaginosis
  • Bacteroides fragilis
  • Baker's (Popliteal) Cyst
  • Balanitis (Adults)
  • Balanitis (Children)
  • Balkan endemic nephropathy (BEN)
  • Balsalazide (Aminosalicylate) ๐Ÿ’Š
  • Barrett's oesophagus โœ…
  • Barthel Index
  • Bartonella
  • Bartonella henselae (Cat Scratch Disease)
  • Bartters syndrome
  • Basal Cell Carcinoma (BCC) โœ…
  • Basic Chemistry for Medicine
  • Basic Concepts of Pregnancy
  • Basic Neuroscience
  • Basic Neuroscience
  • Basic Physics for Medicine
  • Basic Statistics
  • Basics of Endocrinology
  • Basilar artery thrombosis
  • Bayes' Theorem
  • Becker Muscular dystrophy
  • Beclometasone (Beclomethasone) ๐Ÿ’Š
  • Beer Potomania
  • Behaviour/personality change โœ…
  • Behavioural and Psychological (BPSD) Symptoms of Dementia
  • Behavioural difficulties in Adults โœ…
  • Behavioural difficulties in childhood
  • Behcet's Syndrome
  • Bejel ( Treponema pallidum subspecies endemicum)
  • Belantamab mafodotin (Blenrep)
  • Bell's Palsy (Facial nerve palsy)
  • Bendroflumethiazide (Bendrofluazide) ๐Ÿ’Š
  • Benign Breast Disease
  • Benign Eyelid Conditions
  • Benign Paroxysmal Positional Vertigo (BPPV)
  • Benign Prostatic Hyperplasiaโœ…
  • Benign recurrent intrahepatic cholestasis
  • Benzodiazepine Toxicity
  • Benzodiazepines
  • Benzylpenicillin Sodium (Penicillin G) ๐Ÿ’Š
  • Berg Balance Scale
  • Beriplex ๐Ÿ’Š
  • Berylliosis
  • Beta Agonists ๐Ÿ’Š
  • Beta Antagonists/Blockers
  • Beta Blocker toxicityโš ๏ธ
  • Beta Thalassaemia โœ…
  • Beta-2 Microglobulin
  • Beta-lactamases ๐Ÿ’Š
  • Betahistine (Serc) ๐Ÿ’Š
  • Bezafibrate ๐Ÿ’Š
  • Bezafibrate ๐Ÿ’Š
  • Biceps tendon rupture
  • Bilateral Pontine Infarction due to Basilar Artery Thrombosis
  • Bile salt malabsorption (BAM)
  • Biliary atresia
  • Bilirubin
  • Biochemical Lab values
  • Biochemistry and Physiology of Globins
  • Biological Agents
  • Bioterrorism
  • Birt-Hogg-Dubรฉ Syndrome
  • Bisacodyl ๐Ÿ’Š
  • Bisoprolol ๐Ÿ’Š
  • Bisphosphonates ๐Ÿ’Š
  • Bites and stings
  • Blackouts and faints (TLOC)
  • Bladder Cancer
  • Bladder Stones
  • Blank Templates
  • Bleeding Antepartum
  • Bleeding Postpartum
  • Bleeding or High INR on Warfarin or other Anticoagulation
  • Bleomycin
  • Blindness - global causes
  • Blood
  • Blood Pressure
  • Blood Transfusion Reactions
  • Blood cultures
  • Blood film interpretation
  • Blood transfusion
  • Blotting Techniques: Gel Electrophoresis
  • Body Mass Index
  • Bone Pain
  • Bone Physiology
  • Bone disease Lab results
  • Bone metabolism RANK RANKL OPG pathway
  • Bone scintigraphy (Bone scan)
  • Bordetella pertussis (Whooping cough)
  • Borrelia burgdorferi
  • Borrelia recurrentis
  • Bortezomib
  • Botulism
  • Boxer's fracture
  • Brachial neuritis (neuralgic amyotrophy)
  • Brain Abscess
  • Brain CT Collection
  • Brain Embryology
  • Brain Herniation syndromes
  • Brain MRI
  • Brain MRI Collection
  • Brain Metastases
  • Brain Natriuretic Peptide (BNP)
  • Brain Tumours in Children
  • Brain Tumours โœ…
  • Branchial cleft cyst
  • Breaking Bad News (OSCE)
  • Breast Cancer โœ…
  • Breast Cysts
  • Breast Lump Evaluation
  • Breast abscess and Mastitis and Fat Necrosis
  • Breast tenderness/pain
  • Breathlessness
  • Bretylium ๐Ÿ’Š
  • Brighton Mobility Score
  • Broad Complex Tachycardia
  • Bromocriptine ๐Ÿ’Š
  • Bronchial adenoma
  • Bronchiectasis
  • Bronchiolitis
  • Bronchoscopy
  • Brown-Sequard Spinal Cord syndrome
  • Brucella
  • Brucellosis
  • Brugada syndrome โœ…
  • Bruising
  • Budd-Chiari syndrome โœ…
  • Budesonide ๐Ÿ’Š
  • Buerger disease (Thromboangiitis obliterans) โœ…
  • Bulbar vs Pseudobulbar palsy
  • Bulimia Nervosa
  • Bullous Pemphigoid โœ…
  • Bumetanide
  • Bunions
  • Buprenorphine ๐Ÿ’Š
  • Bupropion ๐Ÿ’Š
  • Burkholderia cepacia
  • Burkitt's lymphoma
  • Burns Management Guide
  • Busulphan (Busulfan)
  • Byssinosis
  • C Programming
  • C# programming
  • C++ Programming
  • CADASIL
  • CARASIL
  • CNS fungal Infections
  • CNS infections
  • CSF Interpretation
  • CSF Rhinorrhoea
  • CT Basics for Stroke
  • CT Pulmonary angiogram (CTPA)
  • Cabergoline
  • Caesarean Section (CS)
  • Cafรฉ-au-lait spots
  • Caisson Disease Decompression sickness (The Bends)
  • Calcific Uraemic Arteriolopathy (Calciphyalxis)
  • Calcitonin
  • Calcitriol (1,25 Dihydroxycholecalciferol) ๐Ÿ’Š
  • Calcium Channel Blockers
  • Calcium Chloride or Gluconate
  • Calcium Physiology
  • Calcium Pyrophosphate Deposition (Pseudogout)
  • Calcium Resonium
  • Calcium channel blockers toxicityโš ๏ธ
  • Calot's triangle
  • Campylobacter jejuni
  • Canaliculitis
  • Cancer Pathology
  • Cancer and Stroke
  • Cancer of Unknown Primary
  • Candesartan ๐Ÿ’Š
  • Candida Skin Infections โœ…
  • Candidiasis
  • Cannabinoid Hyperemesis Syndrome (CHS)
  • Cannabis toxicityโš ๏ธ
  • Cannonball Metastases
  • Capacity in Older Adult
  • Capecitabine ๐Ÿ’Š
  • Caplacizumab ๐Ÿ’Š
  • Capnocytophaga canimorsus
  • Capnography
  • Capreomycin
  • Capsular and Pontine Warning Syndromes
  • Captopri ๐Ÿ’Š
  • Carbamazepine ๐Ÿ’Š
  • Carbapenemase-producing Enterobacteriaceae
  • Carbimazole ๐Ÿ’Š
  • Carbohydrates
  • Carbon Monoxide Toxicity
  • Carbon Tetrachloride Toxicity
  • Carbon dioxide embolism
  • Carcinoembryonic antigen (CEA)
  • Carcinoid Heart Disease โค๏ธ
  • Carcinoid Tumour Syndrome
  • Carcinoma of the Bile Duct
  • Carcinoma of the Gallbladder โœ…
  • Cardiac Amyloid heart disease
  • Cardiac Arrest in Pregnancy
  • Cardiac Catheter ablation
  • Cardiac Crib Sheets
  • Cardiac Echocardiography: Basics and Uses
  • Cardiac Electrophysiology and Arrhythmia management
  • Cardiac Embryology
  • Cardiac MRI โค๏ธ
  • Cardiac Resynchronisation Therapy (CRT) Pacemaker
  • Cardiac Syndrome X (Microvascular Angina)
  • Cardiac Troponins
  • Cardiac Troponins
  • Cardiac and Respiratory Rehabilitation
  • Cardioembolic stroke
  • Cardiogenic shock
  • Cardiological Emergencies: Revision โœ…
  • Cardiology Examination (OSCE)
  • Cardiology Revision Guide โœ…
  • Cardiopulmonary bypass
  • Cardiorespiratory Arrest
  • Caring for Patients with Dementia
  • Carmustine ๐Ÿ’Š
  • Caroticocavernous Fistula
  • Carotid Artery Dissection
  • Carotid Body Tumour
  • Carotid Endarterectomy โœ…
  • Carotid Sinus Syncope
  • Carotid Web
  • Carotid sinus massage
  • Carpal tunnel syndrome
  • Carvedilol ๐Ÿ’Š
  • Caspases
  • Castleman's disease
  • Cataract
  • Catheter Related UTI
  • Catheter related Blood stream infection
  • Cauda Equina Syndrome (CES)
  • Caudate Nucleus
  • Causes of Eosinophila
  • Causes of Fatigue
  • Causes of Gradual Visual Loss over weeks and months
  • Causes of Ketoacidosis
  • Causes of Limp in Children
  • Causes of Neck Pain/Stiffness
  • Causes of Precious Puberty in Children
  • Causes of Ptosis
  • Causes of Short Stature in Children
  • Causes of Stroke
  • Causes of Tall Stature in Children
  • Causes of Tremor
  • Causes of Vertigo
  • Causes of a high Erythrocyte Sedimentation rate (ESR)
  • Causes of abnormal Vaginal bleeding
  • Causes of delayed Onset of Puberty in Children โœ…
  • Causes of high C reactive protein (CRP)
  • Cavernous angiomas (Cavernomas)
  • Cavernous sinus
  • Cavernous sinus thrombosis
  • Cefaclor ๐Ÿ’Š
  • Cefalexin ๐Ÿ’Š
  • Cefotaxime ๐Ÿ’Š
  • Ceftazidime ๐Ÿ’Š
  • Ceftriaxone ๐Ÿ’Š
  • Cefuroxime ๐Ÿ’Š
  • Celecoxib ๐Ÿ’Š
  • Cell Adhesion Molecules
  • Cell Biology
  • Cell Cycle
  • Cell Response to Injury
  • Cellulitis and Erysipelas โœ…
  • Central Pontine Myelinolysis (Osmotic Demyelination Syndrome) โœ…
  • Central Retinal Arterial Occlusion (CRAO)
  • Central Spinal Cord Syndrome
  • Central Venous line Insertion
  • Central and Branch Retinal Vein Occlusion (CRVO/BRVO)
  • Centronuclear Myopathy (CNM)
  • Cerebellar Examination (OSCE)
  • Cerebellar Haemorrhage
  • Cerebellar Ischaemic Stroke
  • Cerebral Amyloid angiopathy (CAA) โœ…
  • Cerebral Angiitis
  • Cerebral Angiography
  • Cerebral Angiography and Perfusion
  • Cerebral Arterial Perfusion and Clinical Correlates
  • Cerebral Atrophy vs Hydrocephalus
  • Cerebral Cortex
  • Cerebral Palsy & HIE
  • Cerebral Radiation Vasculopathy
  • Cerebral Salt Wasting
  • Cerebral Vasculitis
  • Cerebral Veins ๐Ÿง 
  • Cerebral Venous Thrombosis (CVT)
  • Cerebral arteritis
  • Cerebral microbleeds
  • Cervical Cancer screening
  • Cervical Lymphadenopathy
  • Cervical Smear Results โœ…
  • Cervical Spine Immobilisation and Management
  • Cervical cancer
  • Cervical screening (HPV)
  • Cervical spondylosis
  • Cetirizine ๐Ÿ’Š
  • Chalazion
  • Chancroid
  • Change in Bowel habit
  • Change in stool colour
  • Charcot Foot Syndrome (CFS)
  • Charcot Marie Tooth (CMT) disease
  • Chediak Higashi syndrome
  • Chemical Pathology
  • Chemosis
  • Chemotherapeutic Agents
  • Chest Abdomen anatomy
  • Chest Pain
  • Chest Pain in the Emergency Department (OSCE focused) โค๏ธ
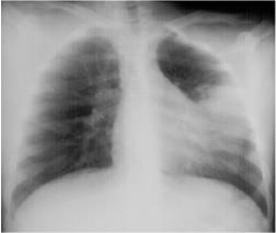
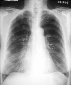
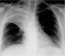
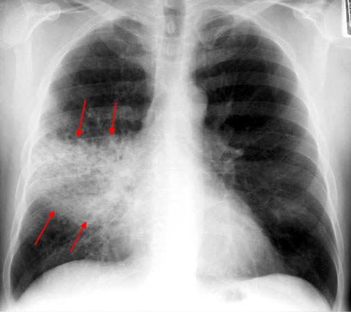
  • Chest X Ray Collection
  • Chest X Ray Interpretation
  • Chest drain Insertion
  • Chickenpox Varicella Infection โœ…
  • Child Abuse and Safeguarding NHS
  • Child abuse
  • Child-Pugh Score: Child-Pugh Score: Cirrhosis Severity
  • Childhood Vaccination in the UK
  • Childhood Vaccination in the USA
  • Chlamydia Infections
  • Chlamydia psittaci
  • Chlamydia trachomatis
  • Chlamydophila pneumoniae
  • Chlorambucil
  • Chloramphenicol ๐Ÿ’Š
  • Chlordiazepoxide ๐Ÿ’Š
  • Chloroquine ๐Ÿ’Š
  • Chlorphenamine(Chlorpheniramine) ๐Ÿ’Š
  • Chlorpromazine ๐Ÿ’Š
  • Cholangiocarcinoma
  • Cholera (Vibrio cholera)
  • Cholestatic Jaundice
  • Cholesteatoma
  • Cholesterol - Lipids
  • Cholesterol Embolisation Syndrome
  • Cholinergic crisis-syndrome
  • Chondrocalcinosis
  • Chorea - Ballismus
  • Choreoacanthocytosis
  • Chorioamnionitis
  • Choriocarcinoma - Malignant Gestational Trophoblastic Disease
  • Chromatin
  • Chronic Bronchitis
  • Chronic Fatigue Syndrome
  • Chronic Glaucoma
  • Chronic Granulomatous Disease
  • Chronic Hepatitis
  • Chronic Inflammation
  • Chronic Inflammatory Demyelinating polyneuropathy
  • Chronic Interstitial Nephritis
  • Chronic Kidney Disease (CKD) โœ…
  • Chronic Liver Disease โœ…
  • Chronic Lymphocytic leukaemia (CLL) โœ…
  • Chronic Myeloid Leukaemia (CML) โœ…
  • Chronic Obstructive Pulmonary Disease (COPD) โœ…
  • Chronic Pancreatitis โœ…
  • Chronic Peritonitis
  • Chronic Radiation Enteritis
  • Chronic Rash (Adult/Child)
  • Chronic Urinary Retention
  • Chronic Vision Uni-Bilateral loss (Blindness)
  • Chronic Visual Loss (OSCE focused)
  • Chronic abdominal pain
  • Chronic and recurrent Meningitis
  • Chronic joint pain/stiffness ๐Ÿฆด
  • Chronic mucocutaneous candidiasis
  • Chronic stable angina
  • Ciclosporin ๐Ÿ’Š
  • Cimetidine ๐Ÿ’Š
  • Cinacalcet
  • Ciprofloxacin ๐Ÿ’Š
  • Circulatory Shock (Volume loss)
  • Cirrhosis
  • Cisatracurium
  • Cisplatin
  • Citalopram ๐Ÿ’Š
  • Cladribine
  • Clarithromycin ๐Ÿ’Š
  • Cleft lip or palate
  • Clindamycin ๐Ÿ’Š
  • Clinical Appearance Collections
  • Clinical History Pleuritic Chest Pain ๐Ÿฉบ
  • Clinically Isolated Syndrome (CIS) โ€“ First Demyelinating Event
  • Clonidine ๐Ÿ’Š
  • Clopidogrel ๐Ÿ’Š
  • Clostridioides difficile Infection
  • Clostridium botulinum Infection
  • Clostridium perfringens
  • Clostridium tetani - Tetanus
  • Clotrimazole cream ๐Ÿ’Š
  • Clotting pathways
  • Clozapine ๐Ÿ’Š
  • Clustered Regularly Interspaced Short Palindromic Repeats CRISPR
  • Co Careldopa (Sinemet)
  • Co-Beneldopa (Madopar)
  • Co-codamol ๐Ÿ’Š
  • Co-trimoxazole (Trimethoprim + Sulfamethoxazole) ๐Ÿ’Š
  • CoAmoxiclav (Augmentin) ๐Ÿ’Š
  • Coagulopathy
  • Coal Worker's Pneumoconiosis
  • Coarctation of the Aorta โœ…
  • Cobalt Cardiomyopathy
  • Cocaine Toxicity and Chest pain
  • Cocaine abuse
  • Cocaine toxicityโš ๏ธ
  • Coccidioidomycosis
  • Codeine ๐Ÿ’Š
  • Coding
  • Coeliac disease โœ…
  • Cogan Syndrome
  • Colchicine ๐Ÿ’Š
  • Cold Agglutinin Disease (CAD/AIHA)
  • Collagen
  • Collesโ€™ fracture of the Radius
  • Colloid cyst in the third ventricle
  • Colloids vs Crystalloids
  • Coloboma
  • Colonic (Large bowel) Obstruction
  • Colonoscopy
  • Colorectal polyps โœ…
  • Colorectal tumours โœ…
  • Colposcopy
  • Comatose Patient (OSCE focused)
  • Combined Oral contraceptive pill (COCP) ๐Ÿ’Š
  • Common Chromosomal Defects
  • Common Genetic Disorders
  • Common Peroneal Nerve (CPN)
  • Common Problems in Elderly
  • Common Psychiatric Emergencies: Revision โœ…
  • Common variable immunodeficiency
  • Commotio cordis
  • Community Acquired Pneumonia ๐Ÿซ โœ…
  • Comparing Groups
  • Compilers
  • Complement
  • Components of a Eukaryotic Gene
  • Comprehensive Clinical Microbiology Tutorial for Medical Students
  • Comprehensive Geriatric Assessment (CGA)
  • Computer Networking
  • Computer Security
  • Concurrent Programming
  • Confirming Death
  • Confusion (OSCE focused)
  • Congenital Acyanotic Heart Disease
  • Congenital Adrenal hyperplasia
  • Congenital Complete Heart Block
  • Congenital Cyanotic Heart Disease (Children)
  • Congenital Hypothyroidism
  • Congenital Talipes Equinovarus - Clubfoot
  • Congenital abnormalities
  • Conjunctivitis
  • Consent โœ…
  • Constipation (Adults) โœ…
  • Constipation (Children)
  • Constipation in the Elderly
  • Constrictive Pericarditis โค๏ธ
  • Contact Dermatitis
  • Continuous Ambulatory Peritoneal Dialysis (CAPD)
  • Continuous Positive Airways Pressure (CPAP) โœ…
  • Contraception request/advice โœ…
  • Conus Medullaris syndrome
  • Cor Pulmonale
  • Cord Prolapse
  • Corneal Abrasion
  • Coronary artery bypass graft surgery โœ…
  • Coronavirus SARS-CoV-2 (COVID-19) โœ…
  • Corticobasal degeneration (Dementia)
  • Corticospinal Tract
  • Corticosteroid-related psychosis ๐Ÿ’Š
  • Corticosteroids : Uses and Cautions
  • Cotard's Syndrome
  • Cough (Adult)
  • Cough (Child)
  • Cowden Syndrome / PTEN Hamartoma Tumour Syndrome
  • Cowpox (Orthopoxvirus)
  • Coxiella Burnetii Q fever
  • Cramps
  • Craniopharyngioma
  • Creatinine Clearance
  • Creutzfeldt Jakob disease
  • Cri du Chat Syndrome
  • Crimean-Congo haemorrhagic fever
  • Critical Illness Neuromuscular Weakness (CINMW)
  • Critical care Crib Sheets
  • Crohn's disease โœ…
  • Croup
  • Crouzon Syndrome
  • Crying baby ๐Ÿ‘ถ
  • Cryoprecipitate
  • Cryptococcus neoformans infections (Cryptococcal Infections)
  • Cryptogenic Organising Pneumonia (COP-BOOP)
  • Cryptogenic stroke
  • Cryptography
  • Cryptosporidiosis โœ…
  • Crystal arthropathy
  • Cushing disease
  • Cushing syndrome
  • Cushing's Syndrome due to Ectopic ACTH
  • Cutaneous Larva Migrans
  • Cutaneous Warts
  • Cutaneous fungal infections
  • Cyanide toxicityโš ๏ธ
  • Cyanosis โค๏ธ
  • Cyclical Vomiting Syndrome
  • Cyclizine
  • Cyclo-oxygenase (COX) enzymes
  • Cyclophosphamide ๐Ÿ’Š
  • Cycloserine
  • Cys leukotriene receptor antagonists ๐Ÿ’Š
  • Cystic Fibrosis โœ…
  • Cystinosis
  • Cystinuria
  • Cystitis and Urethritis (UTI)
  • Cystoscopy
  • Cytokine Physiology
  • Cytomegalovirus (CMV) Retinitis โœ…
  • Cytomegalovirus (CMV) infections
  • D Dimer
  • D-lactic acidosis or D-lactate encephalopathy
  • DNA and RNA
  • DNA replication
  • DNACPR in the Older Person
  • Dabigatran ๐Ÿ’Š
  • Dalteparin ๐Ÿ’Š
  • Dandy Walker syndrome
  • Dantrolene ๐Ÿ’Š
  • Dapagliflozin ๐Ÿ’Š
  • Darierโ€™s disease (Keratosis Follicularis)
  • Darunavir ๐Ÿ’Š
  • Data Security and Protection
  • Data Structures
  • Data security awareness
  • Database Management
  • DeQuervain's thyroiditis
  • Death Certificates and Cremation UK
  • Death and dying
  • Decision Making by Clinicians
  • Decompressive Hemicraniectomy
  • Decreased appetite
  • Deep Vein Thrombosis (DVT) โœ…
  • Deep brain stimulation
  • Dehydration (Child)
  • Dehydration Adult
  • Delusions
  • Demeclocycline ๐Ÿ’Š
  • Dementia with Lewy bodies
  • Dementias
  • Demyelinating Diseases
  • Dengue Fever
  • Denosumab (Prolia) ๐Ÿ’Š
  • Dental Caries
  • Dentatorubral Pallidoluysian Atrophy (DRPLA)
  • Deprivation of Liberty Safeguards (DoLS) โœ…
  • Dermatitis Herpetiformis
  • Dermatology Emergencies โœ…
  • Dermatology Revision Guide โœ…
  • Dermatology terms
  • Dermatomes
  • Dermatomyositis โœ…
  • Dermoid cysts
  • Desferrioxamine ๐Ÿ’Š
  • Desmopressin (DDAVP) ๐Ÿ’Š
  • Desogestrel (Progestogen Only Pill) ๐Ÿ’Š
  • Developmental Delay & Abnormal Development in Children
  • Developmental Dislocation (Dysplasia) of the Hip (DDH)
  • Dexamethasone ๐Ÿ’Š
  • DiGeorge syndrome (22q11.2 deletion syndrome)
  • Diabetes Crib Sheets
  • Diabetes Insipidus (AVP Deficiency)
  • Diabetes Mellitus Type 1 and DKA (children)
  • Diabetes Mellitus Type 1 โœ…
  • Diabetes Mellitus Type 2 โœ…
  • Diabetes Mellitus Type 3C
  • Diabetes Variable Rate Insulin Infusion
  • Diabetes and Hypertension
  • Diabetes and Pregnancy
  • Diabetes in Children
  • Diabetes: (Autonomic) Neuropathy (DAN)
  • Diabetes: Basics โœ…
  • Diabetes: Complications
  • Diabetes: Criteria US and UK
  • Diabetes: Eye Disease
  • Diabetes: Foot Problems
  • Diabetic Amyotrophy โœ…
  • Diabetic Eye Disease
  • Diabetic Ketoacidosis (DKA) Adults โœ…
  • Diabetic Ketoacidosis (DKA) Children
  • Diabetic nephropathy
  • Diabetic neuropathy
  • Diamond-Blackfan anaemia
  • Diamorphine ๐Ÿ’Š
  • Diaphragmatic disorders
  • Diarrhoea (Children)
  • Diazepam ๐Ÿ’Š
  • Didanosine (ddI) ๐Ÿ’Š
  • Diethylstilbestrol
  • Dieulafoy Lesion
  • Different Forms of Medical Trials and Studies
  • Differential Diagnosis of Malar Rash
  • Differentials of ABC
  • Differentials of Painful thigh
  • Differentiation syndrome
  • Difficulty Swallowing (Dysphagia)
  • Difficulty with breastfeeding
  • Diffuse Alveolar Haemorrhage (DAH)
  • Diffuse Oesophageal spasm
  • Diffuse Parenchymal Lung Disease (DPLD) or Interstitial Lung Disease (ILD)
  • Diffuse large B-cell lymphoma
  • Diffusion Capacity
  • Digoxin Toxicityโš ๏ธ
  • Digoxin ๐Ÿ’Š
  • Digoxin-specific antibody โœ…
  • Dihydrocodeine ๐Ÿ’Š
  • Dilated Cardiomyopathy โœ…
  • Diltiazem ๐Ÿ’Š
  • Diphtheria (Corynebacterium diphtheriae)
  • Diplopia (Double Vision)
  • Dipyridamole ๐Ÿ’Š
  • Discharges against advice
  • Discoid lupus erythematosus (DLE)
  • Disease prevention/screening
  • Diseases with associated cancers
  • Dislocation Sternoclaivcular joint
  • Disopyramide ๐Ÿ’Š
  • Disseminated Intravascular Coagulation (DIC)
  • Distal Humerus Fracture
  • Distal Radius Fracture
  • Distributive Shock (Reduced SVR vasodilated)
  • Disulfiram (Antabuse) ๐Ÿ’Š
  • Diuretics
  • Diverticular disease and Acute Diverticulitis โœ…
  • Diving Physiology
  • Dizziness
  • Dobutamine ๐Ÿ’Š
  • Dog Bites โœ…
  • Domestic Violence and Safeguarding NHS
  • Domperidone ๐Ÿ’Š
  • Donepezil (Aricept) ๐Ÿ’Š
  • Donovanosis
  • Dopamine Hydrochloride ๐Ÿ’Š
  • Dopamine agonists ๐Ÿ’Š
  • Dornase Alpha โœ…
  • Dosing Gentamicin
  • Downs syndrome
  • Doxapram ๐Ÿ’Š
  • Doxazosin (Cardura) ๐Ÿ’Š
  • Doxepin ๐Ÿ’Š
  • Doxorubicin (Adriamycin)
  • Doxycycline ๐Ÿ’Š
  • Driving Advice
  • Drowning โœ…
  • Drug Induced Parkinson disease
  • Drug Metabolism
  • Drug Overdose Adults
  • Drug Reaction Eosinophilia Systemic Symptoms (DRESS syndrome)
  • Drug Toxicity Assessment and Management โš ๏ธ
  • Drug induced Lupus Erythematosus
  • Drug induced liver disease
  • Drug overdose children โœ…
  • Drugs
  • Drugs to Avoid in Acute Renal failure
  • Drugs to avoid in Liver failure
  • Dry and Wet and Gas Gangrene
  • Dual X-ray absorptiometry (DEXA)
  • Duchenne Muscular Dystrophy
  • Dukeโ€™s Criteria for Infective Endocarditis โœ…
  • Dulaglutide GLP-1 agonist ๐Ÿ’Š
  • Duloxetine ๐Ÿ’Š
  • Duodenal Atresia (Children)
  • Dupuytrens contracture โœ…
  • Dural Arteriovenous Malformations
  • Dysmorphic child
  • Dyspepsia (OSCE focused)
  • Dysphagia / Swallowing Problems โœ…
  • ECG - Acute Coronary Syndrome โค๏ธ
  • ECG - Artefact
  • ECG - Asystole and P wave Asystole
  • ECG - Bundle Branch Blocks
  • ECG - Calculate the electrical axis
  • ECG - Causes of a Dominant R wave in V1 โค๏ธ
  • ECG - Collection A
  • ECG - Collection B
  • ECG - Heart Block
  • ECG - Hyperkalaemia โค๏ธ
  • ECG - Left Axis Deviation
  • ECG - Left Bundle Branch Block LBBB
  • ECG - Left Ventricular Hypertrophy
  • ECG - Low Voltage Complexes
  • ECG - NSTEMI
  • ECG - Normal 12 Lead
  • ECG - P wave
  • ECG - Pathological Q waves
  • ECG - Potential Errors
  • ECG - QT interval โค๏ธ
  • ECG - Right Axis Deviation
  • ECG - Right Bundle Branch Block RBBB
  • ECG - Right Ventricular Hypertrophy
  • ECG - ST segment changes
  • ECG - ST-T T waves changes
  • ECG - STEMI
  • ECG - Sinoatrial block โค๏ธ
  • ECG - Sinus Bradycardia
  • ECG - The QRS complex
  • ECG - short PR interval
  • ECG Analysis
  • ECG Reading & Interpretation MLA and Exams ๐Ÿซ€
  • ECG/EKG Crib sheets
  • EEG (Electroencephalogram)
  • ENT Emergencies: Revision โœ…
  • ENT infections
  • Ear Pain (Otalgia)
  • Ear and Nasal Discharge
  • Eating Disorders
  • Ebola Virus Disease โœ…
  • Ebstein anomaly โค๏ธ
  • Echinocytes
  • Ecstasy toxicityโš ๏ธ
  • Ectopia lentis (subluxation of the lens)
  • Ectopic Pregnancy
  • Ectropion
  • Eculizumab ๐Ÿ’Š
  • Eczema/Dermatitis
  • Edoxaban (Lixiana)
  • Edward syndrome (trisomy 18 syndrome)
  • Efavirenz (Sustiva) EFV ๐Ÿ’Š
  • Ehlers-Danlos syndromes
  • Ehrlichiosis
  • Eikenella corrodens
  • Eisenmenger's syndrome โค๏ธ
  • Elation/elated mood
  • Elbow Dislocation
  • Elder Abuse and Safeguarding
  • Electrical Storm (Recurrent VT/VF)
  • Electrical injury
  • Electrolyte Abnormalities
  • Electron Transport Chain
  • Embryology of Blood and Immune System
  • Embryology of Limb Development
  • Embryology of Nervous system
  • Embryology of Organ Development
  • Emergency Drugs Collection
  • Emphysema
  • Empty sella syndrome
  • Emtricitabine (Emtriva) FTC ๐Ÿ’Š
  • Enalapril ๐Ÿ’Š
  • Encephalocoele
  • Encopresis in Children โœ…
  • End of Life Care Prescribing โœ…
  • End of Life care in Diabetes
  • End of life care in Head & Neck cancer
  • Endocrine Emergencies: Revision โœ…
  • Endocrinology Revision Guide โœ…
  • Endometrial (Uterine) Cancer
  • Endometriosis
  • Endophthalmitis โœ…
  • Endoscopic Retrograde Cholangiopancreatography (ERCP)
  • Endothelins
  • Enfuvirtide ๐Ÿ’Š
  • Enoxaparin Sodium (Clexane-Lovenox) ๐Ÿ’Š
  • Enoximone ๐Ÿ’Š
  • Entacapone
  • Enterococci
  • Enteropathic Spondyloarthritis
  • Entropion
  • Enuresis/Bedwetting in Children โœ…
  • Enzyme inducers and inhibitors
  • Enzymes in Humans
  • Eosinophilic Oesophagitis
  • Eosinophilic granulomatosis (Churg Strauss)
  • Ependymoma
  • Epididymitis and Orchitis (Children)โœ…
  • Epididymitis and Orchitis in Adults
  • Epidural Haematoma
  • Epidural Spinal abscess
  • Epilepsy - Diagnosis
  • Epilepsy - Idiopathic Generalised Epilepsy
  • Epilepsy in Pregnancy
  • Epilepsy โœ…
  • Episcleritis
  • Epistaxis
  • Eplerenone ๐Ÿ’Š
  • Eponymous brainstem strokes
  • Epstein-Barr Virus infection
  • Equality Diversity and Human Rights
  • Equality Diversity and Inclusion
  • Erb Palsy
  • Erectile dysfunction
  • Ergocalciferol (Calciferol) ๐Ÿ’Š
  • Erlotinib (Tarceva) ๐Ÿ’Š
  • Erysipelas โœ…
  • Erysipelothrix rhusiopathiae
  • Erythema Gyratum Repens
  • Erythema Multiforme โœ…
  • Erythema Nodosum
  • Erythema ab Igne
  • Erythrocytes / Red Blood Cells ๐Ÿฉธ
  • Erythrodermic Psoriasis
  • Erythromycin ๐Ÿ’Š
  • Escherichia coli (E. coli)
  • Escitalopram ๐Ÿ’Š
  • Esomeprazole ๐Ÿ’Š
  • Essential Hypertension โœ…
  • Essential Thrombocythaemia (ET) โœ…
  • Essential Tremor
  • Etanercept ๐Ÿ’Š
  • Ethambutol ๐Ÿ’Š
  • Ethanol toxicityโš ๏ธ
  • Ethanol ๐Ÿ’Š
  • Ethylene glycol toxicity
  • Etomidate
  • Etravirine (intelence) ETR ๐Ÿ’Š
  • Euglycaemic Ketoacidosis (euDKA) with SGLT2 Inhibitors
  • Ewing sarcoma
  • Exchange Transfusion
  • Exenatide (Byetta) GLP1 agonist ๐Ÿ’Š
  • Exercise Physiology
  • Exercise stress test
  • Exploding head syndrome
  • Extradural haemorrhage
  • Extramedullary plasmacytoma
  • Extrapyramidal symptoms
  • Extrinsic Allergic alveolitis (Hypersensitivity Pneumonitis)
  • Eye Collection
  • Eye Trauma
  • Eye infections
  • Eye pain/discomfort
  • Ezetimibe ๐Ÿ’Š
  • FDG PET/CT Scans
  • Fabry disease
  • Facial Nerve (VII Cranial nerve)
  • Facial and Periorbital Swelling
  • Facial pain
  • Facioscapulohumeral muscular dystrophy
  • Factor V Leiden Deficiency
  • Faecal Calprotectin
  • Faecal Incontinence
  • Failure to thrive or Faltering growth
  • Falls
  • Familial Adenomatous polyposis (FAP) โœ…
  • Familial Hyperlipidaemias
  • Familial Mediterranean Fever (FMF) โœ…
  • Familial hypocalciuric hypercalcaemia (FHH)
  • Familial/Hereditary Amyloidosis
  • Family Tree (Pedigree)
  • Family history of possible genetic disorder
  • Famotidine ๐Ÿ’Š
  • Famous Medical Triads
  • Fanconi Anaemia
  • Fanconi Syndrome
  • Farmer's lung
  • Fasciculation
  • Fast Atrial Fibrillation and Rate Control
  • Fat Metabolism
  • Fat embolism โœ…
  • Fatal Familial Insomnia (FFI)
  • Fatty acids
  • Febrile convulsion
  • Felodipine (Dihydropyridine)
  • Femoral Hernia
  • Femoral Shaft Fractures
  • Femoral Vein Cannulation
  • Femoral nerve
  • Fentanyl - Fentanil
  • Ferritin
  • Ferrous Fumarate - Gluconate - Sulphate ๐Ÿ’Š
  • Fertilisation and Formation of Zygote
  • Fetal Alcohol Syndrome
  • Fetal-type Posterior cerebral artery (FTP)
  • Fever - all ages
  • Fever Pyrexia of unknown origin (FUO PUO)
  • Fever in IV Drug User (PUO)
  • Fever in a traveller
  • Fibrinogen
  • Fibromuscular Dysplasia โœ…
  • Fibromyalgia โœ…
  • Fibrotic Lung Disease
  • Fidaxomicin ๐Ÿ’Š
  • Fifth Disease (Erythrovirus B19 infection)
  • Finasteride (5 alpha-reductase inhibitor) ๐Ÿ’Š
  • Fire Safety for NHS Professionals
  • First Seizure
  • First Seizure (OSCE focused)
  • Fissure in Ano
  • Fistulo in Ano
  • Fit Notes in General Practice (UK)
  • Fits/seizures and Epilepsy (Children)
  • Fitz-Hugh Curtis Syndrome
  • Fixed Abnormal Beliefs (Delusions)
  • Flashes and Floaters in the Visual Field
  • Flecainide Acetate ๐Ÿ’Š
  • Flexor sheath infection (flexor tenosynovitis)
  • Flow Cytometry
  • Flucloxacillin ๐Ÿ’Š
  • Fluconazole ๐Ÿ’Š
  • Flucytosine ๐Ÿ’Š
  • Fludrocortisone ๐Ÿ’Š
  • Fluid balance status and management
  • Flumazenil (Annexate - Romazicon) ๐Ÿ’Š
  • Fluoxetine ๐Ÿ’Š
  • Focal Cortical Dysplasia (FCD)
  • Focal Segmental Glomerulosclerosis (FSGS)
  • Foix-Alajouanine syndrome
  • Folate (Folic) acid (B9) ๐Ÿ’Š
  • Folate deficiency (B9) โœ…
  • Folinic acid (Leucovorin) ๐Ÿ’Š
  • Follicular lymphoma
  • Folliculitis
  • Fomepizole ๐Ÿ’Š
  • Fondaparinux ๐Ÿ’Š
  • Food Intolerance in Children
  • Food borne disease
  • Foot Drop
  • Forearm Fractures
  • Foreign Body in Eye
  • Foscarnet Sodium ๐Ÿ’Š
  • Fosfomycin
  • Foslevodopa / Foscarbidopa
  • Fosphenytoin ๐Ÿ’Š
  • Foster Kennedy Syndrome
  • Fourniers gangrene
  • Fractured Clavicle
  • Fractured Neck of Femur/Femoral Neck
  • Fractured Pubic Ramus
  • Fractured Scapula
  • Fractured Shaft Femur
  • Fractured Tibia and Fibula
  • Fractures in Children
  • Fractures of the Upper humerus
  • Fragile X syndrome
  • Frailty an Overview
  • Fraser guidelines and Gillick Competence
  • Free Radicals
  • Fresh Frozen Plasma
  • Friedreichs Ataxia
  • Frontotemporal dementia
  • Full or Complete Blood Count (FBC CBC)
  • Functional organization of a eukaryotic gene
  • Fungi and their infections
  • Furosemide (Frusemide)
  • Fusidic acid ๐Ÿ’Š
  • Fusobacteria - Tropical ulcer
  • Fusobacterium
  • G protein-coupled receptors
  • GLP-1 Receptor Agonists
  • Gabapentin ๐Ÿ’Š
  • Galactorrhoea
  • Galactosaemia
  • Galantamine
  • Gallstone ileus
  • Gallstones and biliary colic
  • Gamete intra-fallopian tube transfer (GIFT)
  • Gametogenesis
  • Gamma Glutamyl Transferase (GGT)
  • Gamma hydroxy butyrate (GHB) toxicityโš ๏ธ
  • Ganciclovir - Valganciclovir ๐Ÿ’Š
  • Ganglion Cysts
  • Gardner's syndrome
  • Gardnerella vaginalis
  • Gas Gangrene (Clostridial Myonecrosis)
  • Gastric (MALT) Lymphoma
  • Gastric Cancer โœ…
  • Gastric Outlet obstruction (pyloric stenosis) in Adults โœ…
  • Gastrinoma
  • Gastro Intestinal Stromal Tumours (GIST)
  • Gastro-Oesophageal Reflux (GORD/GERD) โœ…
  • Gastro-Oesophageal Reflux (Paediatrics GORD) โœ…
  • Gastro-oesophageal reflux in Children โœ…
  • Gastroenteritis in Adults โœ…
  • Gastroenteritis in Children
  • Gastroenterology Examination
  • Gastroenterology Examination (OSCE)
  • Gastroenterology Revision Article โœ…
  • Gastrointestinal Emergencies:Revisionโœ…
  • Gastrostomy (PEG) tube managment
  • Gaucher's disease
  • Gene components
  • General Anaesthesia (GA) ๐Ÿ’ค
  • General Basic Fracture management โœ…
  • Genetic Diseases
  • Genetic Linkage
  • Genetic Mutations
  • Genital Ulcers
  • Gentamicin ๐Ÿ’Š
  • Geriatric Medicine Emergencies: Revision โœ…
  • Geriatric Medicine Syllabus (For Resident Doctors in Training)
  • Gerstmann-Straussler-Scheinker Syndrome (GSS)
  • Gestational Diabetes Mellitus โœ…
  • Giardiasis
  • Gilbert's syndrome โœ…
  • Gingival (Gum) hyperplasia or hypertrophy
  • Gitelman's syndrome
  • Glasgow Coma scale
  • Glatiramer acetate (Copaxone) ๐Ÿ’Š
  • Glibenclamide ๐Ÿ’Š
  • Gliclazide
  • Glimepiride
  • Glioblastoma โœ…
  • Glipizide
  • Glomerulonephritis
  • Glossitis
  • Glossopharyngeal Nerve (Cranial Nerve IX)
  • Glucagon ๐Ÿ’Š
  • Glucagonoma
  • Glucose 6 phosphate dehydrogenase deficiency
  • Glucose Metabolism
  • Glucose Tolerance Test
  • Glutamate
  • Glycated Haemoglobin HbA1c
  • Glyceryl Trinitrate (GTN) ๐Ÿ’Š
  • Glycogen storage diseases
  • Glycolysis Krebs Electron Transport Chain
  • Glycopyrronium Bromide
  • Goitre โœ…
  • Gold Score: Hypoglycaemia Awareness in Type 1 Diabetes โœ…
  • Golfer's Elbow (Medial Epicondylitis)
  • Golimumab (Simponi) ๐Ÿ’Š
  • Gonorrhoea
  • Goodpasture's syndrome (Anti GBM disease)
  • Goserelin (Zoladex) ๐Ÿ’Š
  • Government Benefits Available to People with Disabilities UK
  • Gradenigo's syndrome
  • Grades of Recommendation
  • Gradual change in or loss of vision
  • Gram Stain
  • Granuloma annulare
  • Granulomas
  • Granulomatosis with Polyangiitis GPA (Wegeners)โœ…
  • Graves Disease (Thyrotoxicosis) โœ…
  • Griseofulvin ๐Ÿ’Š
  • Growth Hormone Deficiency โœ…
  • Guillain Barre Syndrome
  • Gum hypertrophy
  • Gynaecological Examination (OSCE)
  • Gynaecological History Taking
  • Gynaecomastia โœ…
  • HAM- D Hamilton Anxiety Rating Scale
  • HAM-A: Hamilton Anxiety Rating Scale
  • HAS-BLED score
  • HIV and Post-Exposure Prophylaxis (PEP)
  • HIV and Pre-exposure prophylaxis
  • HIV associated nephropathy (HIVAN)
  • HIV disease New Diagnosis
  • HTLV-1 Associated myelopathy (Tropical Spastic Paraparesis)
  • Haematemesis
  • Haematology Emergencies: Revision โœ…
  • Haematology Laboratory Values
  • Haematology Revision Guide โœ…
  • Haematopoietic Stem Cell Transplantation (Previously Bone Marrow Transplantation)
  • Haematospermia
  • Haematuria
  • Haemoglobinopathies
  • Haemoglobins
  • Haemolytic Anaemia
  • Haemolytic Uraemic Syndrome (HUS) โœ…
  • Haemolytic disease of the newborn
  • Haemophilia
  • Haemophilia A โœ…
  • Haemophilia B โœ…
  • Haemophilus aegyptius
  • Haemophilus ducreyi
  • Haemophilus influenzae
  • Haemophilus parainfluenzae
  • Haemopoiesis
  • Haemoptysis
  • Haemorrhagic Transformation of Infarction
  • Haemorrhagic stroke
  • Haemorrhoids (Piles) โœ…
  • Hairy Cell Leukaemia
  • Hairy Leukoplakia
  • Hallervorden-Spatz disease (PKAN)
  • Haloperidol ๐Ÿ’Š
  • Hamman-Rich syndrome
  • Hand foot and mouth disease
  • Hand fractures and Injuries
  • Hantavirus infections
  • Haptoglobins
  • Harlequin ichthyosis
  • Hartmann's procedure
  • Hartmanns solution (Ringers lactate) ๐Ÿ’Š
  • Hartnup disease
  • Hashimoto's thyroiditis
  • Head Impulse Test
  • Head Injury and Traumatic Brain Head Injury (TBI)
  • Head Lice
  • Head and Neck Cancers
  • Headache - Basilar Migraine
  • Headache - Cluster
  • Headache - Medication Overuse Headache โœ…
  • Headaches
  • Health Issues In Pregnancy
  • Health Safety and Manual Handling
  • Hearing Loss
  • Hearing aids
  • Heart Block
  • Heart Failure with preserved and reduced EF โœ…
  • Heart Murmurs
  • Heart and Fetal circulation
  • Heat Stroke
  • Helicobacter pylori
  • Helvetica Spotted fever
  • Heme Synthesis, Biochemistry, and Physiology
  • Henoch-Schonlein purpura
  • Heparin - General ๐Ÿ’Š
  • Heparin - Low Molecular Weight Heparin ๐Ÿ’Š
  • Heparin - Unfractionated Heparin ๐Ÿ’Š
  • Heparin-induced thrombocytopenia (HIT) โœ…
  • Hepatic Encephalopathy
  • Hepatitis (D) Delta Virus โœ…
  • Hepatitis A โœ…
  • Hepatitis B โœ…
  • Hepatitis C
  • Hepatitis E โœ…
  • Hepatocellular Carcinoma
  • Hepatology Emergencies: Revision
  • Hepatorenal syndromes
  • Hereditary Angio-Oedema
  • Hereditary Elliptocytosis ๐Ÿฉธ
  • Hereditary Haemochromatosis
  • Hereditary Haemorrhagic Telangiectasia (HHT) โœ…
  • Hereditary Spastic Paraparesis
  • Hereditary Spherocytosis (HS) ๐Ÿฉธ
  • Hereditary neuropathy with pressure palsies
  • Hereditary non polyposis coli (Lynch syndrome) โœ…
  • Hernias
  • Hernias (Children)
  • Herpes Simplex Encephalitis (HSV)
  • Herpes Simplex Virus
  • Herpes Varicella-Zoster (Shingles) Infection
  • Herpes Virus 6 and 7
  • Herpes Viruses
  • Herpes Zoster Ophthalmicus (HZO) Shingles
  • Herpes simplex keratitis (HSK)
  • Herpetic Whitlow
  • Heterochromia Iridium
  • Heyde syndrome
  • Hiatus hernia
  • Hiccups (Singultus)
  • Hidradenitis suppurativa (Acne Inversa)
  • Hierarchy of Evidence-Based Trials
  • High Altitude Physiology
  • High Dose Insulin Euglycaemic Therapy (HIET)
  • High Output Stoma
  • High Yield Cardiology
  • High Yield Endocrinology
  • High Yield Exam Geriatric
  • High Yield Gastroenterology
  • High Yield Infectious Diseases
  • High Yield Neurology
  • High Yield Renal / Electrolytes
  • High Yield Respiratory
  • High Yield Rheumatology / Autoimmune
  • High-Yield Oncology & Haematology
  • Hip Osteoarthritis โœ…
  • Hip Pain (OSCE focused)
  • Hip pain in children
  • Hirschsprung disease (congenital megacolon)
  • Hirsuitism
  • Histones
  • Histoplasmosis
  • Hoarseness and voice change
  • Hodgkin Lymphoma โœ…
  • Hodgkin vs Non-Hodgkin Lymphoma:
  • Holt-Oram syndrome
  • Holter monitor (tape) 24-72 h
  • Homocystinuria
  • Hookworm
  • Horner's syndrome
  • Horseshoe Kidney
  • Hospital acquired Pneumonia HAP โœ…
  • Hospital-acquired infections
  • How does a CPU work
  • How to Read and Analyze a Medical Paper
  • Human Herpesvirus 6A (HHV-6A)
  • Human Leukocyte Antigen and its Role in Disease Associations
  • Human Metabolism
  • Human albumin solution (HAS)
  • Human papilloma virus infection
  • Human prion diseases
  • Humeral Fractures โœ…
  • Hunter's syndrome (MPS-2)
  • Huntingtons Disease/Chorea
  • Hurler's syndrome (MPS-1)
  • Hutchinson-Gilford Progeria Syndrome (HGPS)
  • Hydatid disease (Echinococcus)
  • Hydatidiform mole
  • Hydralazine ๐Ÿ’Š
  • Hydrocephalus and Stroke
  • Hydrocortisone ๐Ÿ’Š
  • Hydrogen Bonds
  • Hydrogen and other Bonds
  • Hydrops fetalis
  • Hydroxocobalamin - Cyanocobalamin (B12) ๐Ÿ’Š
  • Hydroxocobalamin ๐Ÿ’Š
  • Hydroxychloroquine ๐Ÿ’Š
  • Hydroxyurea (Hydroxycarbamide)
  • Hyoscine (Buscopan) ๐Ÿ’Š
  • Hyper IgM syndrome
  • Hyperacute Stroke Care Pathway
  • Hyperbaric Oxygen therapy
  • Hypercalcaemia of Malignancy
  • Hypercalcaemia โœ…
  • Hypercholesterolaemia
  • Hyperemesis Gravidarum
  • Hyperglycaemic Hyperosmolar State (HHS) โœ…
  • Hyperinsulinaemic-euglycemic therapy (HIET)
  • Hyperkalaemia โœ…
  • Hyperkalaemic and Hypokalaemic Periodic Paralysis
  • Hyperlipidaemia
  • Hypermagnesaemia
  • Hypernatraemia
  • Hyperparathyroidism
  • Hyperphosphataemia (High phosphate)
  • Hyperprolactinaemia
  • Hypertension in Children โœ…
  • Hypertension in Pregnancy โœ…
  • Hyperthermia and Hypothermia
  • Hypertriglyceridaemia (HTG)
  • Hypertrophic cardiomyopathy (HCM - HOCM) โœ…
  • Hyperuricaemia
  • Hyperventilation Syndrome
  • Hyperviscosity syndrome
  • Hyphaema (US Hyphema)
  • Hypocalcaemia โœ…
  • Hypoglossal Nerve (Cranial Nerve XII)
  • Hypoglycaemia
  • Hypogonadism
  • Hypogonadism (Female)
  • Hypokalaemia
  • Hypokalaemic Periodic Paralysis
  • Hypomagnesaemia โœ…
  • Hyponatraemia โœ…
  • Hypophosphataemia (Low phosphate)
  • Hypopituitarism (Pituitary Failure)
  • Hypospadias
  • Hypothermiaโœ…
  • Hypothyroidism โœ…
  • Hypoxia - Reacting to Low Oxygen Saturations
  • Hypoxic-Ischaemic Encephalopathy
  • ICH Classification and Severity Scores
  • IL-12 receptor deficiency
  • IV Immunoglobulin (IVIG) ๐Ÿ’Š
  • Ibandronic acid (Bisphosphonate) ๐Ÿ’Š
  • Ibuprofen ๐Ÿ’Š
  • Icatibant ๐Ÿ’Š
  • Idarucizumab (Praxbind) ๐Ÿ’Š
  • Idiopathic Arthritis in Adults
  • Idiopathic Fascicular Left Ventricular Tachycardia
  • Idiopathic Intracranial hypertension โœ…
  • Idiopathic Pulmonary Fibrosis
  • Idiopathic Ventricular Tachycardia (IVT)
  • IgA Nephropathy (Berger's disease)
  • Ileostomy vs Colostomy Table
  • Iliopsoas Abscess
  • Images - Spot diagnoses
  • Imaging for the MLA#1
  • Imaging for the MLA#2
  • Imatinib mesylate
  • Imipenem (Primaxin) with Cilastin ๐Ÿ’Š
  • Immediate management and assessment of the newborn
  • Immobility
  • Immune Reconstitution Syndrome
  • Immune Thrombocytopenic Purpura (ITP) ๐Ÿฉธ
  • Immune response
  • Immune-Mediated Necrotizing Myopathy
  • Immunoglobulin G4-related disease (IgG4-RD)
  • Immunoglobulins and their role in Immunity
  • Impetigo
  • Important Metabolic Pathways
  • Impulse control disorders
  • In Situ Thrombosis ๐Ÿฉธ
  • Incidental Findings (Incidentalomas)
  • Inclusion Body Myositis
  • Incubation periods
  • Indapamide ๐Ÿ’Š
  • Indications for Irradiated Blood Products
  • Indinavir (IND)
  • Infant feeding issues
  • Infantile Spasms (West Syndrome)
  • Infection Associated Cancers
  • Infection Prevention Control for NHS Staff
  • Infection Prevention Control for NHS Staff
  • Infection screening in Septic patient โœ…
  • Infectious Colitis
  • Infectious Diarrhoea (OSCE focused)
  • Infectious Diseases Revision Guide โœ…
  • Infectious Mononucleosis (EBV Most Often)
  • Infective Endocarditis
  • Infective Keratitis
  • Inferior Vena Cava Filter
  • Infertility & Subfertility
  • Inflammatory Bowel Disease
  • Inflammatory eye disease
  • Infliximab ๐Ÿ’Š
  • Influenza
  • Information Governance for NHS Staff
  • Inguinal Hernia
  • Inhaled Levodopa (Inbrijaยฎ)
  • Inherited Metabolic Diseases in Children
  • Initial Assessment of Malaria in Children
  • Injury Severity Score (ISS)
  • Insomnia - unable to sleep issues
  • Insulin Degludec (Tresiba)
  • Insulin Detemir (Levemir)
  • Insulin Glargine (Lantus, Abasaglar, Semglee, Toujeo)
  • Insulin Physiology
  • Insulin Pumps
  • Insulinoma
  • Interferon Beta ๐Ÿ’Š
  • Intermittent Claudication
  • Internal Capsule
  • Internal Jugular vein Cannulation
  • Internal; Decapitation
  • Internuclear Ophthalmoplegia
  • Interstitial Keratitis
  • Interstitial Lung Disease
  • Intestinal Ischaemia
  • Intestinal obstruction (Children)
  • Intestinal obstruction and Ileus
  • Intra Aortic Balloon Pump
  • Intraabdominal abscess
  • Intrauterine death โœ…
  • Intravascular large B-cell lymphoma (IVLBCL)
  • Intravenous Iron Replacement
  • Intravenous fluids โœ…
  • Intraventricular haemorrhage (neonates)
  • Introduction to Anaesthetics ๐Ÿ’ค
  • Introduction to Cardiology
  • Introduction to Hormones
  • Introduction to Obstetrics and Gynaecology
  • Introduction to Psychiatry
  • Intubation and Mechanical Ventilation
  • Intussusception in Adults
  • Intussusception in Children โœ…
  • Investigations
  • Iodine Physiology
  • Iodine deficiency Goitre
  • Ipratropium Bromide (Atrovent) ๐Ÿ’Š
  • Irbesartan ๐Ÿ’Š
  • Iritis (Anterior Uveitis)
  • Iron Salts ๐Ÿ’Š
  • Iron Studies
  • Iron Studies
  • Iron deficiency Anaemia ๐Ÿฉธ
  • Iron toxicityโš ๏ธ
  • Irritable bowel syndrome โœ…
  • Ischaemic Colitis
  • Ischaemic Stroke
  • Ischaemic Strokes in the Pons
  • Ischaemic heart disease
  • Isoniazid ๐Ÿ’Š
  • Isoprenaline ๐Ÿ’Š
  • Isosorbide Dinitrate ๐Ÿ’Š
  • Isosorbide mononitrate ๐Ÿ’Š
  • Isotretinoin (Accutane) ๐Ÿ’Š
  • Ispaghula Husk (Fybogel) ๐Ÿ’Š
  • Ivabradine ๐Ÿ’Š
  • Jansen Disease
  • Janus kinase 2
  • Jaundice
  • Java Programming
  • Jervell and Lange-Nielsen syndrome
  • Job Syndrome (Hyper IgE syndrome)
  • Jugular Venous pressure
  • Junctional Tachycardia
  • Juvenile Dermatomyositis
  • Juvenile Idiopathic Arthritis (Stills Disease)
  • Juvenile Myoclonic epilepsy (JME)
  • Kallmanns syndrome
  • Kaposi sarcoma (KS)
  • Karnofsky performance status scale
  • Kawasaki disease
  • Keloids
  • Kennedy Syndrome (Spinal and Bulbar Muscular Atrophy (SBMA))
  • Keratoacanthoma
  • Keratoconus
  • Kernicterus
  • Ketamine bladder
  • Ketamine ๐Ÿ’Š
  • Ketoconazole ๐Ÿ’Š
  • Ketones
  • Klebsiella pneumonia
  • Kleine Levin Syndrome
  • Klinefelter Syndrome
  • Klumpke palsy
  • Knee Joint Structure and Form
  • Koebner phenomenon
  • Kugelberg-Welander Syndrome (Spinal Muscular Atrophy Type III)
  • Kuru
  • Kwashiorkor
  • L-Thyroxine (T4) ๐Ÿ’Š
  • Labetalol (Trandate) ๐Ÿ’Š
  • Labour and Complications
  • Labyrinthitis and Vestibular Neuronitis
  • Lac operon
  • Lacerations
  • Lacerations
  • Lactate
  • Lactate dehydrogenase (LDH)
  • Lactic acidosis
  • Lactobacillus acidophilus
  • Lactose Intolerance
  • Lactulose ๐Ÿ’Š
  • Lacunar Stroke Syndromes
  • Lady Windermere syndrome
  • Lambert-Eaton syndrome (LEMS)
  • Lamivudine (3TC) ๐Ÿ’Š
  • Lamotrigine ๐Ÿ’Š
  • Langerhans cell histiocytosis (LCH)
  • Language and Dysphasia
  • Lansoprazole ๐Ÿ’Š
  • Lanthanum
  • Large for Gestational Age (LGA)
  • Larva Currens (Strongyloides stercoralis)
  • Lassa haemorrhagic fever (LHF)
  • Lateral Medullary Syndrome
  • Law and Mental Health (UK)
  • Law and Mental Health (USA)
  • Laxatives ๐Ÿ’Š
  • Le Fort Fractures
  • Lead toxicity
  • Learning (Intellectual) disability
  • Leber hereditary optic neuropathy (LHON)
  • Lecanemab (Leqembi)
  • Leflunomide (Arava) ๐Ÿ’Š
  • Left Ventricular Outflow Tract (LVOT) Tachycardia
  • Legal definition of Blindness
  • Legionella Pneumophila
  • Leishmaniasis (Cutanenous and Visceral)
  • Lemierre's syndrome
  • Lenalidomide (Revlimid)
  • Length Dependent Polyneuropathy
  • Lennox-Gastaut syndrome
  • Lenticulostriate branch occlusion
  • Leprosy (Hansenโ€™s disease)
  • Leptin
  • Leptomeningeal Metastases
  • Leptospira interrogans
  • Leptospirosis (Weil's Disease) (Notifiable)
  • Leriche syndrome (aortoiliac occlusive disease)
  • Lesch-Nyhan syndrome
  • Leukaemia
  • Leukoariosis
  • Leukocoria (White Pupillary Reflex) ๐Ÿ‘๏ธ
  • Leukocyte alkaline phosphatase
  • Leukocytoclastic vasculitis
  • Leukotrienes
  • Levetiracetam (Keppra) ๐Ÿ’Š
  • Levobupivacaine
  • Levodopa ๐Ÿ’Š
  • Levomepromazine
  • Levosimendan ๐Ÿ’Š
  • Lhermitte Duclos Disease
  • Li Fraumeni syndrome
  • Lichen Planus โœ…
  • Liddle's syndrome
  • Lidocaine(Lignocaine) ๐Ÿ’Š
  • Lightning strike
  • Limb Weakness
  • Limb girdle dystrophy
  • Limbic Encephalitis
  • Linagliptin (Trajenta) ๐Ÿ’Š
  • Linezolid
  • Liothyronine Sodium L-Triiodothyronine (T3) ๐Ÿ’Š
  • Lipid emulsion therapy - Intralipid ๐Ÿ’Š
  • Lipoatrophy
  • Lipoprotein lipase deficiency
  • Liraglutide (Victoza) ๐Ÿ’Š
  • Lisinopril ๐Ÿ’Š
  • Listerial Meningitis
  • Listeriosis
  • Lithium toxicityโš ๏ธ
  • Lithium ๐Ÿ’Š
  • Livedo Reticularis โœ…
  • Liver Biopsy
  • Liver Examination (OSCE)
  • Liver Transplantation
  • Liver abscess โœ…
  • Liver disease in Pregnancy
  • Local Anaesthetics for Suturing or other Procedures
  • Localisation of cortical function
  • Locked in Syndrome
  • Lofepramine ๐Ÿ’Š
  • Loffler's syndrome (Pulmonary Eosinophilia)
  • Loin Pain
  • Long COVID
  • Long QT syndrome (LQTS) Congenital
  • Long chain acyl-CoA dehydrogenase deficiency
  • Long term Oxygen therapy (LTOT)
  • Loop diuretics ๐Ÿ’Š
  • Loperamide ๐Ÿ’Š
  • Lopinavir ๐Ÿ’Š
  • Loratadine ๐Ÿ’Š
  • Lorazepam ๐Ÿ’Š
  • Losartan ๐Ÿ’Š
  • Loss of Libido
  • Loss of red reflex
  • Louse-Borne vs Tick-Borne Relapsing Fever
  • Louse-borne relapsing fever
  • Low CSF pressure Headache
  • Low mood/affective/depression problems
  • Lower Gastrointestinal Bleeding โœ…
  • Lower Limb Fractures
  • Lower Limb Fractures and Injuries
  • Lower Limb Neurology (OSCE)
  • Lower Limb Soft Tissue Injuries
  • Lower respiratory tract infection (Child)
  • Lown Ganong Levine Syndrome (LGL) AVRT
  • Lugol iodine ๐Ÿ’Š
  • Lumbar and Sacrum anatomy and function
  • Lumbar puncture
  • Lumbrosacral Radiculopathy
  • Lump in Groin
  • Lung Abscess
  • Lung Cancer
  • Lung Empyema
  • Lung Transplant
  • Lupus Nephritis
  • Lupus Vulgaris
  • Lyme disease
  • Lymphadenopathy
  • Lymphocytes
  • Lymphocytic Hypophysitis
  • Lymphogranuloma Venereum (LGV)
  • Lymphoproliferative Disorders
  • Lyonization (X-Inactivation)
  • Lysergic acid diethylamide (LSD) Toxicity
  • Lysosomal storage diseases
  • MCAD Deficiency (Medium-Chain Acyl-CoA Dehydrogenase Deficiency)
  • MELAS
  • MR cholangiopancreatography (MRCP)
  • Macrocytic anaemia ๐Ÿฉธ
  • Macroglossia
  • Macrophage activation syndrome (MAS)
  • Magnesium Physiology
  • Magnesium Sulphate - Sulfate
  • Magnetic resonance cholangiopancreatography
  • Magnetic resonance imaging
  • Major Disaster Plan
  • Major Histocompatibility complex
  • Malabsorption - small intestine โœ…
  • Malaria
  • Malaria Falciparum (Includes Cerebral Malaria)
  • Male Urethral Catheterisation
  • Malignant Ascites
  • Malignant Breast Disease
  • Malignant Hyperparathyroidism due to PTHrP
  • Malignant Hyperpyrexia (Malignant Hyperthermia)
  • Malignant Hypertension
  • Malignant MCA syndrome โœ…
  • Malignant Melanoma โœ…
  • Malignant pleural mesothelioma
  • Mallet Finger
  • Mallory-Weiss Tear
  • Malnutrition Adults and the Elderly
  • Malnutrition Universal Screening Tool
  • Malnutrition universal screening tool (MUST)
  • Management of Bites
  • Mania
  • Mannitol
  • Mantle cell lymphoma
  • Maple Syrup Urine disease
  • Marantic Endocarditis
  • Marasmus
  • Maraviroc (Celsentri) ๐Ÿ’Š
  • Marburg virus disease
  • Marchiafava Bignami syndrome
  • Marfan syndrome
  • Marginal Keratitis
  • Marginal Zone Lymphoma
  • Mask-Related Acne (Maskne)
  • Massive Haemorrhage and Massive Transfusion Protocol (MTP)
  • Mastoiditis
  • Maths and Physics Crib Sheets
  • Maturity Onset Diabetes of the Young (MODY)
  • McArdles disease (type V)
  • McCune Albright syndrome
  • Measles (notifiable)
  • Mebeverine ๐Ÿ’Š
  • Mechanical Thrombectomy for Ischaemic Stroke
  • Meckel diverticulum โœ…
  • Meconium
  • Median Nerve
  • Medical Licensing Assessment Content Map (GMC)
  • Medical Tweetorial Links
  • Medical conditions affecting the Teeth
  • Medullary Sponge kidney
  • Medulloblastoma
  • Mefenamic acid ๐Ÿ’Š
  • Mefloquine (Larium)
  • Megaloblastic anaemia ๐Ÿฉธ
  • Melaena
  • Melatonin
  • Melioidosis (Burkholderia pseudomallei)
  • Memantine Hydrochloride ๐Ÿ’Š
  • Membranous Glomerulonephritis
  • Memory Loss
  • Menetrier disease
  • Menieres disease
  • Meningioma
  • Menkes Disease
  • Menopause and Menopausal Problems ๐ŸŒธ โœ…
  • Menstrual cycle
  • Menstrual problems
  • Mental Capacity Act 2005
  • Mental Health Act 1983
  • Mental capacity concerns
  • Mental health problems in pregnancy or postpartum ๐Ÿคฐ
  • Mercaptopurine ๐Ÿ’Š
  • Meropenem ๐Ÿ’Š
  • Mesalazine (Aminosalicylate) ๐Ÿ’Š
  • Mesangiocapillary Glomerulonephritis
  • Mesenteric Ischaemia
  • Mesenteric adenitis
  • Mesial temporal lobe epilepsy
  • Metabolic Syndrome X โœ…
  • Metabolic acidosis
  • Metabolic alkalosis
  • Metachromic leukodystrophy
  • Metastatic Adenocarcinoma
  • Metastatic Calcification
  • Metastatic bone disease
  • Metastatic disease
  • Metformin ๐Ÿ’Š
  • Methaemoglobinaemia
  • Methanol Toxicity
  • Methicillin Resistant Staphylococcus Aureus โœ…
  • Methodone ๐Ÿ’Š
  • Methods to reduce toxin absorption
  • Methotrexate ๐Ÿ’Š
  • Methylcellulose ๐Ÿ’Š
  • Methylprednisolone
  • Methylthioninium chloride (Methylene blue)
  • Metoclopramide ๐Ÿ’Š
  • Metolazone ๐Ÿ’Š
  • Metoprolol ๐Ÿ’Š
  • Metronidazole (Flagyl) ๐Ÿ’Š
  • Metyrapone (Metopirone) ๐Ÿ’Š
  • Miconazole ๐Ÿ’Š
  • Microangiopathic Haemolytic anaemia
  • Microbiology and Assessment of Streptococcus
  • Microcytic anaemia ๐Ÿฉธ
  • Microscopic Polyangiitisโœ…
  • Microscopic colitis
  • Microstomia
  • Microtubules
  • Midazolam
  • Middle East Resp Syndrome (MERS) Coronavirus
  • Midodrine ๐Ÿ’Š
  • Mifepristone
  • Migraineโœ…
  • Miliary (Disseminated) Tuberculosis
  • Miller-Fisher syndrome
  • Milrinone
  • Milwaukee shoulder syndrome
  • Mini Mental State Examination (MMSE)
  • Minimal Change Disease Glomerulonephritis
  • Minocycline ๐Ÿ’Š
  • Minoxidil ๐Ÿ’Š
  • Mirabegron ๐Ÿ’Š
  • Mirizzi syndrome
  • Mirtazapine ๐Ÿ’Š
  • Mirvetuximab soravtansine (Elahere)
  • Miscarriage
  • Misoprostol ๐Ÿ’Š
  • Misplaced Nasogastric tube insertion
  • Mitochondria
  • Mitochondrial diseases
  • Mitosis and Meiosis
  • Mitral Regurgitation (Incompetence)
  • Mitral Stenosis โœ…
  • Mitral Stenosis vs Regurgitation
  • Mitral Valve prolapse โค๏ธ
  • Mittelschmerz
  • Mixed Connective Tissue Disease (MCTD)
  • Mobility aids
  • Modified Oxford Handicap Scale (MOHS)
  • Modified Rankin Score
  • Modified Valsalva
  • Molecular Structures for Medicine
  • Molluscum contagiosum
  • MonkeyPox (MPOX)
  • Monoclonal gammopathy Undetermined significance
  • Monocytes ๐Ÿฉธ
  • Monosodium glutamate (MSG) syndrome
  • Montelukast ๐Ÿ’Š
  • Montreal Cognitive Assessment (MOCA)
  • Moraxella catarrhalis
  • Morphine Sulphate ๐Ÿ’Š
  • Morphological Blood film abnormalities and variants
  • Mosquito borne diseases
  • Most Common Cancers in the UK & Red Flags
  • Motor End Plate
  • Motor Neuron Disease (MND-ALS)
  • Moyamoya disease
  • Muckle Wells syndrome
  • Multifocal Atrial Tachycardia
  • Multifocal Motor Neuropathy with Conduction block
  • Multiple Antithrombotics Anticoagulants
  • Multiple Crib sheets
  • Multiple Endocrine Neoplasia type 1 (MEN1)
  • Multiple Endocrine Neoplasia type II (MEN2)
  • Multiple Myeloma
  • Multiple Organ Dysfunction Syndrome
  • Multiple Pregnancy
  • Multiple Sclerosis (MS)
  • Multiple System Atrophy (MSA)
  • Mumps (Notifiable)
  • Muscle Pain Myalgia
  • Muscular Dystrophies
  • Musculocutaneous nerve
  • Musculoskeletal deformities
  • Musculoskeletal deformities
  • Myasthenia Gravis
  • Mycophenolate mofetil ๐Ÿ’Š
  • Mycoplasma pneumoniae ๐Ÿซ
  • Mycoplasmas
  • Mycosis Fungoides (Sezary Syndrome)
  • Myelin Oligodendrocyte Glycoprotein (MOG) & MOG Antibody-Associated Disease (MOGAD)
  • Myelodysplastic syndrome (Myelodysplasia) ๐Ÿฉธ
  • Myelofibrosis ๐Ÿฉธ
  • Myelopathy (Disorder of Spinal cord)
  • Myeloproliferative disorders โœ…
  • Myeloproliferative vs Lymphoproliferative Disorders
  • Myobacterium avium Complex Infection
  • Myocardial perfusion
  • Myoclonus
  • Myoglobin
  • Myotomes
  • Myotonic dystrophy - Dystrophia myotonica
  • Myxoedema coma
  • N-Acetylcysteine (Parvolex) ๐Ÿ’Š
  • NICE Guidance Part 1 โœ…
  • NICE Guidance Part 2 โœ…
  • NICE Guidance Part 3 โœ…
  • NICE and other guidelines links
  • NICE and other guidelines linksโœ…
  • NSAID toxicityโš ๏ธ
  • Nail disorders Table
  • Naloxone (Narcan) Opiate antagonist ๐Ÿ’Š
  • Naproxen
  • Narcolepsy
  • Narrow Complex Tachycardia โค๏ธ
  • Nasal Discharge
  • Nasal Obstruction
  • Nasal polyps
  • Natalizumab (Tysabri) ๐Ÿ’Š
  • National Early Warning Score NEWS 2 Score
  • National Institutes of Health Stroke Scale (NIHSS)
  • Natural Language processing
  • Neck Swellings by Triangle
  • Necrotising Enterocolitis
  • Necrotising fasciitis
  • Needlestick injury and PEP
  • Nefopam ๐Ÿ’Š
  • Neisseria meningitidis (Meningococcus)
  • Nelson Syndrome
  • Nemaline myopathy
  • Neomycin ๐Ÿ’Š
  • Neonatal Abstinence Syndrome NAS
  • Neonatal Jaundice
  • Neonatal Lupus Erythematosus
  • Neonatal death or cot death
  • Neonatal death or cot death
  • Neonatal meningitis
  • Neostigmine ๐Ÿ’Š
  • Nephritic vs Nephrotic syndrome
  • Nephroblastoma (Wilm's tumour)
  • Nephrology Revision Guide โœ…
  • Nephrotic Syndrome in Children โœ…
  • Nephrotic syndrome in Adults
  • Nephrotoxic drugs
  • Nerve conduction studies
  • Neuroanatomy Images
  • Neuroblastoma
  • Neurocysticercosis (Taenia solium a pork parasite)
  • Neuroferrinopathy
  • Neurofibromatosis Type 1
  • Neurofibromatosis Type 2
  • Neuroleptic Malignant Syndrome
  • Neurological Examination - Cortical Functions
  • Neurological Examination - Motor
  • Neurological Examination - Speech&Language
  • Neurological Sensory Examination (OSCE)
  • Neurological examination - Eyes
  • Neurological or ENT Examination - Nystagmus
  • Neurological signs
  • Neurology Chapter
  • Neurology Crib Sheets
  • Neurology Revision Guide โœ…
  • Neuromuscular weakness
  • Neuromyelitis Optica (Devic's disease)
  • Neuropathic Pain Management
  • Neuropathic pain
  • Neuroscience - Vision and Eye movements
  • Neuroscience of Memory
  • Neurosurgery
  • Neurotransmitters
  • Neutropenia
  • Neutropenic Sepsis
  • Neutrophil Alkaline Phosphatase
  • Neutrophils
  • Nevirapine (Viramune) NEV-NVP ๐Ÿ’Š
  • New Headache (OSCE focused)
  • New Onset Weakness (OSCE focused)
  • Newborn Bloodspot (Heel Prick) Screening
  • Niacin deficiency (Pellagra Vitamin B3)
  • Nicardipine (Cardene)
  • Nicorandil ๐Ÿ’Š
  • Niemann-Pick disease
  • Nifedipine ๐Ÿ’Š
  • Night sweats
  • Nikolsky's sign
  • Nimodipine (Nimotop) ๐Ÿ’Š
  • Nipple Discharge
  • Nirsevimab (Beyfortus)
  • Nitrates
  • Nitric Oxide
  • Nitrofurantoin ๐Ÿ’Š
  • Nitrous oxide use and abuse
  • Nizatidine ๐Ÿ’Š
  • Nocardia
  • Noise induced hearing loss
  • Non Alcoholic Fatty Liver Disease MASLD and MASH
  • Non Convulsive Status Epilepticus
  • Non Hodgkin Lymphoma โœ…
  • Non gonococcal urethritis
  • Non invasive ventilation (NIV)
  • Non steroidal anti inflammatory drugs (NSAIDs) ๐Ÿ’Š
  • Non-Arteritic Anterior Ischaemic Optic Neuropathy
  • Non-accidental injury
  • Non-accidental injury (children)
  • Noonan syndrome
  • Noradrenaline (Norepinephrine) ๐Ÿ’Š
  • Normal Distribution
  • Normal Pressure Hydrocephalus
  • Normal Saline 0.9% โœ…
  • Normal pregnancy and Antenatal care
  • Normocytic anaemia
  • Norovirus
  • Nortriptyline ๐Ÿ’Š
  • Norwegian Scabies โœ…
  • Nosocomial infections
  • Notifiable disease and organisms UK
  • Nucleotides
  • Nutrition in Infants Breastfeeding
  • Nystatin ๐Ÿ’Š
  • OSCE Abdominal Examination
  • OSCE Ascites Examination
  • OSCE Blood pressure
  • OSCE Breast Anatomy Exam
  • OSCE Cardiac History Taking
  • OSCE Causes of Male Infertility
  • OSCE Cranial nerves and examination
  • OSCE Dysphagia Swallowing
  • OSCE Ear Examination
  • OSCE Examination of Visual Fields
  • OSCE Examining for Finger Clubbing
  • OSCE Examining the Arterial Pulse
  • OSCE Examining the Jugular Venous Pressure (JVP)
  • OSCE Eye Examination
  • OSCE Failure to Thrive
  • OSCE Gastroenterology History taking
  • OSCE Inguinal Examination
  • OSCE Jaundice
  • OSCE Leg Pain & Swelling
  • OSCE Lower Limb Neurological Examination
  • OSCE Male Genital exam
  • OSCE Monocular loss of vision
  • OSCE Neurological Examination - Cognition
  • OSCE Neurological Examination Face
  • OSCE Neurology - History taking
  • OSCE Rectal Bleeding
  • OSCE Respiratory - History Taking
  • OSCE Shoulder exam
  • OSCE Station Hearing Loss
  • OSCE Station โ€“ Melaena
  • OSCE Testicular/Scrotal Examination
  • OSCE Thyroid Exam
  • OSCE Unintentional Weight Loss
  • OSCE Upper Limb Neurology Examination
  • Obesity
  • Obesity and Pregnancy
  • Object orientated programming
  • Obsessive-Compulsive disorder
  • Obstetric definitions
  • Obstetrics Emergencies: Revisionโœ…
  • Obstetrics and Gynaecology Revision Guide โœ…
  • Obstructive Lung Diseases
  • Obstructive Shock (Mechanical Obstruction)
  • Obstructive Sleep Apnoea
  • Occupational Lung Disease
  • Octreotide ๐Ÿ’Š
  • Oculomotor Nerve (Cranial Nerve III)
  • Oesophageal Carcinoma
  • Oesophageal Perforation - Rupture
  • Oesophageal Variceal Bleeding
  • Oesophagogastroduodenoscopy (OGD/EGD)
  • Olanzapine ๐Ÿ’Š
  • Older Patient with Swallowing Problems
  • Olecranon Fracture
  • Olfactory Nerve (Cranial Nerve I)
  • Oligodendroglioma
  • Olmersartan ๐Ÿ’Š
  • Olsalazine (Aminosalicylate) ๐Ÿ’Š
  • Omalizumab
  • Omeprazole ๐Ÿ’Š
  • Onchocerciasis
  • Oncogenic viruses
  • Ondansetron ๐Ÿ’Š
  • Ophthalmic Emergencies: Revision โœ…
  • Ophthalmic Nerve
  • Ophthalmology Exam Lists
  • Ophthalmology Revision Guide โœ…
  • Opiates ๐Ÿ’Š
  • Opicapone ๐Ÿ’Š
  • Opioid/Opiate toxicityโš ๏ธ
  • Opsonisation
  • Optic Nerve (Cranial Nerve II) and tract
  • Optic Neuritis
  • Optic atrophy
  • Optics Pathway
  • Oral Aphthous Ulcers
  • Oral Candidiasis
  • Oral Leukoplakia
  • Orbital Cellulitis vs Preorbital Cellulitis
  • Orf (Contagious Ecthyma)
  • Organism and sensitivities
  • Organomegaly
  • Organophosphate (OP) Toxicity
  • Orphenadrine
  • Orthostatic Hypotension
  • Orthostatic Hypotension
  • Oseltamivir - Tamiflu ๐Ÿ’Š
  • Osteoarthritis
  • Osteochondroma
  • Osteogenesis Imperfecta
  • Osteogenic sarcoma (Osteosarcoma)
  • Osteomalacia
  • Osteomyelitis โœ…
  • Osteonecrosis of the jaw
  • Osteopetrosis
  • Osteoporosis โœ…
  • Otitis Externa (Malignant)
  • Otitis Media
  • Otosclerosis
  • Ottawa rules for ankle and foot x-ray
  • Ovarian Cancer
  • Ovarian Cyst
  • Ovarian Torsion
  • Overlap Syndrome
  • Oxford / Bamford Classification
  • Oxford Hip Score โœ…
  • Oxford community stroke project (Bamford)
  • Oxidation and Reduction for Medical Students
  • Oxybutynin (Ditropan) ๐Ÿ’Š
  • Oxycodone (Oxycontin-Oxynorm) ๐Ÿ’Š
  • Oxygen delivery devices
  • Oxygenation and Ventilation
  • Oxytetracycline ๐Ÿ’Š
  • POEMS syndrome
  • Pabrinex ๐Ÿ’Š
  • Pacemakers
  • Paediatric Autoimmune Neuropsychiatric Disorders Associated with Streptococcal Infections
  • Paediatric Crib Sheets
  • Paediatric emergencies
  • Paediatrics Revision Guide โœ…
  • Pagets (Bone) disease
  • Pain Management : Acute & Chronic
  • Pain on inspiration
  • Painful Sexual Intercourse (Dyspareunia)
  • Painful Shoulder syndromes
  • Painful swollen leg
  • Palliation - Nausea Dyspnoea Secretions Pain
  • Palliation prescribing
  • Pallor
  • Palpitations
  • Pamidronate (Bisphosphonate) ๐Ÿ’Š
  • Panayiotopoulos Syndrome in Children
  • Pancoast tumour (Cancer)
  • Pancreatic Cancer
  • Pancytopenia
  • Panic Disorder
  • Panton-Valentine leucocidin toxin
  • Pantoprazole ๐Ÿ’Š
  • Pantothenate Kinaseโ€“Associated Neurodegeneration
  • Papilloedema
  • Paracetamol (Acetaminophen) toxicityโš ๏ธ
  • Paracetamol (Acetaminophen) ๐Ÿ’Š
  • Paracoccidioidomycosis
  • Paradoxical embolisation
  • Paraneoplastic Limbic Encephalitis (Dementia)
  • Paraneoplastic cerebellar degeneration
  • Paraphimosis (urological emergency)
  • Paraquat toxicityโš ๏ธ
  • Parkinson Hyperpyrexia Syndrome
  • Parkinson Plus syndromes
  • Parkinson disease
  • Parkinsonism
  • Paronychia
  • Parotitis
  • Paroxetine ๐Ÿ’Š
  • Paroxysmal Nocturnal Haemoglobinuria
  • Pasteurella multocida
  • Patau syndrome (trisomy 13)
  • Patellar Bursitis
  • Patent Ductus arteriosus (PDA) โค๏ธ
  • Patent Foramen Ovale (PFO)
  • Pathological Gaits ๐Ÿšถโ€โ™‚๏ธ
  • Pathological bone fracture
  • Patient on Anticoagulant and Antiplatelet Therapy
  • Patients who refuse treatment or lack capacity
  • Patiromer ๐Ÿ’Š
  • Pattern Recognition Receptors
  • Pectus Excavatum
  • Pegvisomant ๐Ÿ’Š
  • Pelvic Abscess
  • Pelvic Inflammatory Disease โœ…
  • Pelvic Mass
  • Pelvic Pain
  • Pelvic fractures
  • Pemphigoid Gestationis (Herpes Gestationis) โœ…
  • Pemphigus Vulgaris
  • Penetrating Abdominal Trauma โœ…
  • Penicillamine ๐Ÿ’Š
  • Penicillin Allergy
  • Penicillins ๐Ÿ’Š
  • Penile Cancer
  • Peptic ulcer disease (PUD) and gastritis in Children
  • Peptic ulcer disease and Gastritis in Adults
  • Percutaneous Endoscopic Gastrostomy (PEG) procedure:
  • Pergolide
  • Perianal abscesses and fistulae โœ…
  • Perianal symptoms
  • Pericardial Disease
  • Pericardial Effusion and Tamponade โœ…
  • Perimesencephalic Subarachnoid haemorrhage โœ…
  • Perindopril ๐Ÿ’Š
  • Perinephric abscess
  • Perioperative Anticoagulation
  • Perioperative Medicine โœ…
  • Peripheral Arterial Disease (PAD) โœ…
  • Peripheral Nerve Palsies
  • Peripheral nerve injuries/palsies (Children)
  • Peripheral neuropathy
  • Peripheral oedema and ankle swelling
  • Peripherally inserted central catheters (PICC)
  • Peritonitis
  • Peritonsillar Abscess (Quinsy) โœ…
  • Pernicious anaemia
  • Personality Disorders
  • Perthes disease (Osteochondritis of the Hip)
  • Petechial Rash in Adult or Child
  • Pethidine
  • Peutz-Jeghers syndrome
  • Peyronieโ€™s Disease
  • Phaeochromocytoma
  • Phagocytes
  • Pharmacokinetic
  • Pharmacokinetics
  • Pharmacology in the Elderly
  • Pharyngeal arch derivatives
  • Pharyngitis
  • Phenobarbital sodium
  • Phenoxymethylpenicillin (Penicillin V) ๐Ÿ’Š
  • Phentolamine ๐Ÿ’Š
  • Phenylketonuria (PKU)
  • Phenytoin (Dilantin) ๐Ÿ’Š
  • Philadelphia chromosome
  • Phimosis
  • Phobic disorders
  • Phocomelia and Thalidomide
  • Phosphorus/Phosphate
  • Phthiriasis palpebrarum โœ…
  • Physical Education
  • Physics of flow for Medical students
  • Picolax - Citrafleet ๐Ÿ’Š
  • Pilonidal Abscess (sinus) โœ…
  • Pinta (Treponema carateum)
  • Pioglitazone (Thiazolidinediones) ๐Ÿ’Š
  • Pituitary Apoplexy
  • Pituitary Tumours
  • Pityriasis or Tinea versicolor infections
  • Pityriasis rosea
  • Pivmecillinam (a penicillin antibiotic) ๐Ÿ’Š
  • Placenta praevia
  • Placental abruption
  • Plantar fasciitis
  • Plasmapheresis
  • Plasmids
  • Platelets
  • Pleural effusion
  • Pleural tap (thoracentesis)
  • Pneumococcal meningitis โœ…
  • Pneumoconiosis โœ…
  • Pneumocystis jirovecii pneumonia
  • Pneumonia in Children
  • Pneumonia ๐Ÿฉบ (OSCE focused)
  • Poisoning
  • Poisons eliminated Haemodialysis - perfusion
  • Poliomyelitis
  • Polyarteritis nodosa (PAN)
  • Polyarticular arthritis
  • Polycystic Ovary syndrome
  • Polycythaemia
  • Polycythaemia Vera (Primary Polycythaemia) โœ…
  • Polydipsia (thirst)
  • Polymerase chain reaction
  • Polymorphic light eruption
  • Polymyalgia Rheumatica
  • Polymyositis
  • Polypharmacy and STOPP/START criteria
  • Polyuria
  • Polyuria and Thirst (OSCE focused)
  • Pontiac fever (Legionella Pneumophila)
  • Pontine-Midbrain haemorrhage โœ…
  • Popliteal Artery Aneurysm
  • Porphyria Cutanea Tarda (PCT)
  • Porphyria Testing
  • Portal Hypertension
  • Positron and Single photon Emission Tomography
  • Post Falls Assessment
  • Post Menopausal Bleeding
  • Post Partum Thyroiditis
  • Post Polio Syndrome (PPS)
  • Post Streptococcal/Infectious Glomerulonephritis
  • Post Stroke Epilepsy (PSE)
  • Post-Traumatic Stress Disorder (PTSD)
  • Post-exposure prophylaxis with Immunoglobulins
  • Post-operative surgical care and complications
  • Post-transplant lymphoproliferative disorders (PTLDs)
  • Posterior Reversible Encephalopathy Syndrome (PRES)
  • Posterior circulation
  • Postmenopausal Bleeding (OSCE focused)
  • Postpartum / Postnatal Psychosis
  • Postpartum/Postnatal Depression
  • Postprandial hypotension
  • Postural Orthostatic Tachycardia Syndrome (POTS)
  • Postโ€‘fall management: Concerns for the Onโ€‘Call Team
  • Potassium Physiology
  • Pralidoxime ๐Ÿ’Š
  • Pramipexole (Mirapexin) ๐Ÿ’Š
  • Prasugrel ๐Ÿ’Š
  • Pravastatin ๐Ÿ’Š
  • Praziquantel
  • Prazosin ๐Ÿ’Š
  • Pre-Operative Assessment
  • Pre-eclampsia, Gestational Hypertension
  • Prednisolone ๐Ÿ’Š
  • Prednisone ๐Ÿ’Š
  • Pregabalin ๐Ÿ’Š
  • Pregnancy risk assessment
  • Premature Menopause
  • Prematurity
  • Premed Anatomy
  • Premed Pathology ๐Ÿ”ฌ
  • Premed Pharmacology
  • Premedical Biochemistry
  • Premedical Immunology ๐Ÿง 
  • Premedical Microbiology ๐Ÿงซ
  • Presbyacusis(Presbycusis)
  • Prescribing in Pregnancy
  • Pressure sores or ulcers
  • Preterm labour
  • Prevotella (Bacteroides) melaninogenica
  • Priapism โœ…
  • Primaquine
  • Primary Biliary Cholangitis
  • Primary CNS Lymphoma (PCNSL)
  • Primary Familial Brain Calcification (PFBC) Fahr Syndrome
  • Primary Open-Angle Glaucoma (POAG)
  • Primary Pulmonary Hypertension
  • Primary Sclerosing Cholangitis
  • Primary amoebic meningoencephalitis (PAM)
  • Primary and Secondary Hypoparathyroidism โœ…
  • Primary ciliary dyskinesia and Kartagener's syndrome
  • Primary hyperaldosteronism (Conn's syndrome)
  • Primary progressive aphasia (Dementia)
  • Probenecid ๐Ÿ’Š
  • Procalcitonin (PCT) ๐Ÿงช
  • Prochlorperazine (Stemetil) ๐Ÿ’Š
  • Procyclidine
  • Progressive Multifocal Leukoencephalopathy (PML)
  • Progressive Supranuclear Palsy (PSP)
  • Prolactin
  • Prolactinoma โœ…
  • Propafenone ๐Ÿ’Š
  • Propantheline ๐Ÿ’Š
  • Propionibacterium
  • Propofol ๐Ÿ’Š
  • Propranolol ๐Ÿ’Š
  • Propylthiouracil ๐Ÿ’Š
  • Prostate cancerโœ…
  • Prosthetic Metal and Tissue Valves
  • Protamine Sulfate ๐Ÿ’Š
  • Protein C Deficiency โœ…
  • Protein S Deficiency
  • Protein Synthesis
  • Protein losing enteropathy
  • Protein metabolism
  • Protein p53
  • Proteus
  • Prothrombin 20210A mutation
  • Prothrombin Complex Concentrates (Octaplex and Beriplex) ๐Ÿ’Š
  • Prothrombin time and Coagulation ๐Ÿฉธ
  • Prothrombotic Hypercoagulable disorders
  • Proximal myopathy
  • Prucalopride
  • Pruritis
  • Pruritis ani
  • Psammoma bodies ๐ŸŒ€
  • Pseudo(pseudo)hypoparathyroidism
  • Pseudomonas infection (Pseudomonas aeruginosa)
  • Psoriasis
  • Psoriatic arthritis โœ…
  • Psychogenic Polydipsia
  • Pubertal Development
  • Pubic Lice (Pediculosis Pubis)
  • Pulmonary Alveolar Proteinosis
  • Pulmonary Arteriovenous malformation
  • Pulmonary Arteriovenous malformation
  • Pulmonary Embolism ๐Ÿซ
  • Pulmonary Eosinophilia and CXR changes
  • Pulmonary Haemorrhage
  • Pulmonary Hypertension
  • Pulmonary Regurgitation โค๏ธ
  • Pulmonary Stenosis โค๏ธ
  • Pulmonry Embolism in Pregnancy ๐Ÿคฐ
  • Pulse oximetry
  • Pupils : Relative Afferent pupillary defect (RAPD)
  • Purpura
  • Purpura Fulminans
  • Putamen and Globus Pallidus
  • Putaminal Haemorrhage
  • Pyloric Stenosis Children
  • Pyoderma gangrenosum โœ…
  • Pyonephrosis
  • Pyrazinamide ๐Ÿ’Š
  • Pyridostigmine ๐Ÿ’Š
  • Pyroglutamic acidosis
  • Pyruvate Kinase deficiency
  • Python Programming
  • QRISK3 (OSCE focused) โค๏ธ
  • Quetiapine ๐Ÿ’Š
  • Quinine toxicityโš ๏ธ
  • Quinine ๐Ÿ’Š
  • RFS Rib fracture score
  • ROSIER scale
  • Rabies
  • Radial Head and Neck Fractures
  • Radial Ulnar and Median Palsy of the Hand
  • Radial nerve
  • Radiation exposure
  • Radicular syndromes
  • Radiculopathies
  • Radioactive iodine (I 131)
  • Radiofrequency Catheter Ablation
  • Radiologically Inserted Gastrostomy (RIG) Procedure
  • Radiology for finals
  • Raised intracranial pressure (ICP)
  • Raloxifene ๐Ÿ’Š
  • Raltegravir ๐Ÿ’Š
  • Ramipril ๐Ÿ’Š
  • Ramsay Hunt syndrome
  • Ranitidine ๐Ÿ’Š
  • Ranolazine ๐Ÿ’Š
  • Rapid Sequence Intubation (RSI)
  • Rapidly Progressive Glomerulonephritis (RPGN)
  • Rasagiline ๐Ÿ’Š
  • Rasburicase
  • Rate limiting steps in metabolism
  • Raynaud's Phenomenon Primary and Secondary
  • Reactive Arthritis
  • Rectal Foreign Body
  • Rectal Pain (Proctalgia)
  • Rectal Prolapse โœ…
  • Rectal examination (OSCE)
  • Red Blood Cell Maturation
  • Red cell aplasia
  • Reduced/change in fetal movements
  • Refeeding syndrome
  • Referring to Level 2 or 3 care (ITU ICU HDU)
  • Reflex anoxic attacks in Children
  • Refractive Errors
  • Refsum disease
  • Regular Broad Complex Tachycardia โค๏ธ
  • Rehabilitation in a Nutshell of older patients
  • Relapsing Polychondritis
  • Remdesvir (Veklury)
  • Renal Artery Stenosis Renovascular Disease
  • Renal Emergencies: Revision โœ…
  • Renal Papillary Necrosis
  • Renal Replacement Therapy (RRT)
  • Renal Top Tips
  • Renal Transplantation
  • Renal Tubular Acidosis (RTA)
  • Renal Vein Thrombosis โœ…
  • Renal cell carcinoma โœ…
  • Renal syndromes
  • Renin and Aldosterone Renin ratio (ARR)
  • Renin-angiotensin system
  • Respiratory Examination (OSCE)
  • Respiratory Acidosis
  • Respiratory Alkalosis
  • Respiratory Arrest
  • Respiratory Arrest
  • Respiratory Crib Sheets
  • Respiratory Disease Investigations
  • Respiratory Distress Syndrome (Neonates)
  • Respiratory Emergencies: Revisionโœ…
  • Respiratory Failure
  • Respiratory Revision Guide โœ…
  • Respiratory Spirometry and Flow Volume Loops
  • Restless legs syndrome
  • Restriction enzymes
  • Restrictive Cardiomyopathy
  • Resus: Septic Shock and Sepsis
  • Resuscitation - Acute Haemorrhage
  • Resuscitation - Adult Bradycardia Algorithm
  • Resuscitation - Adult Tachycardia Algorithm
  • Resuscitation - Advanced Life Support
  • Resuscitation - Basic Life Support ABCDE
  • Resuscitation - Choking Algorithm
  • Resuscitation - Newborns and Children
  • Resuscitation - Post Resuscitation Algorithm
  • Reteplase ๐Ÿ’Š
  • Reticulocytes
  • Retinal detachment
  • Retinitis pigmentosa
  • Retinoblastoma ๐Ÿ‘๏ธ
  • Retinoids ๐Ÿ’Š
  • Retinopathy of Prematurity (ROP)
  • Retroperitoneal fibrosis
  • Rett Syndrome
  • Reversible cerebral vasoconstriction syndrome (RCVS) โœ…
  • Revision Core Syllabus Guide for Medical Students โœ…
  • Reye syndrome
  • Rhesus haemolytic disease
  • Rheumatic fever โค๏ธ
  • Rheumatoid Arthritis โœ…
  • Rheumatology Autoantibodies
  • Rheumatology Drugs
  • Rheumatology Lab values
  • Rheumatology Revision Guide โœ…
  • Rhino-Orbital-Cerebral Mucormycosis
  • Rhinosinusitis
  • Rhodococcus equi
  • Ribavirin ๐Ÿ’Š
  • Ribosomes
  • Ricin Toxicity
  • Rickettsia (General Principles)
  • Rickettsia africae (Tick Bite Fever)
  • Rickettsia akari (Rickettsial pox)
  • Rickettsia conorii (Mediterranean Spotted Fever)
  • Rickettsia prowazekii (Epidemi/Louse-borne Typhus)
  • Rickettsia rickettsii (Rocky Mountain spotted fever)
  • Rickettsia tsutsugamushi (Scrub typhus)
  • Rickettsia typhi (Murine/Endemic typhus)
  • Rifampicin (Rifabutin Rifampin) ๐Ÿ’Š
  • Rifaximin ๐Ÿ’Š
  • Right Iliac Fossa Pain
  • Right Ventricular Outflow Tract Tachycardia (RVOT)
  • Right Ventricular ST Elevation MI (RVMI)
  • Right heart valve disease
  • Rilipivirine (Edurant) RVP ๐Ÿ’Š
  • Riluzole (Rilutek)
  • Risedronate (Bisphosphonate) ๐Ÿ’Š
  • Risperidone ๐Ÿ’Š
  • Ritonavir (Norvir) RTV ๐Ÿ’Š
  • Rituximab (Mabthera) ๐Ÿ’Š
  • Rivaroxaban (Xarelto) ๐Ÿ’Š
  • Rivastigmine (Exelon) ๐Ÿ’Š
  • Rocky Mountain Spotted Fever
  • Rocuronium ๐Ÿ’Š
  • Role of Urinary Catheters in the Elderly
  • Rosacea โœ…
  • Rotavirus
  • Rotigotine Transdermal Patch (Neupro) ๐Ÿ’Š
  • Rubella (German Measles) Notifiable
  • Ruptured Ovarian Cyst โœ…
  • Rust Programming
  • SCL70 Antibody
  • SCOFF questionnaire screening tool
  • SQL programming
  • SUSS test for eating disorder examinations
  • Saccular Berry Cerebral Aneurysms
  • Sacubitril with Valsartan ๐Ÿ’Š
  • Safeguarding Adults and Children
  • Safety Surgical checklist WHO
  • Salivary Gland Disease
  • Salivary glands
  • Salmonella enterica
  • Salmonella typhi
  • Sampling in Medical Statistics
  • Saquinavir (Invirase) SQV ๐Ÿ’Š
  • Sarcoidosis
  • Saxagliptin (Onglyza) ๐Ÿ’Š
  • Scabies
  • Scaphoid fracture
  • Scarlet Fever (Scarlatina)
  • Scarring
  • Schamberg disease
  • Schistosomiasis
  • Schizophrenia
  • Schmidts syndrome
  • Sciatic nerve
  • Sciatica โœ…
  • Scleritis
  • Scleroderma perforans of the sclera (scleromalacia perforans),
  • Scrotal/testicular pain/lump/swelling โš ๏ธ
  • Seborrheic Dermatitis
  • Seborrheic Keratosis โœ…
  • Secondary Hypertension
  • Secondary Messengers
  • Secondary Pulmonary hypertension - Cor pulmonale
  • Secondary dysmenorrhoea
  • Secondary hyperparathyroidism
  • Secondary prevention Post Acute Coronary Syndrome
  • Sedation and Analgesia on ITU
  • Selective IgA deficiency
  • Selective Serotonin reuptake Inhibitor toxicityโš ๏ธ
  • Selective serotonin reuptake inhibitors (SSRI) ๐Ÿ’Š
  • Selegiline ๐Ÿ’Š
  • Selenium deficiency
  • Self assessment form
  • Self-harm / Suicidal thoughts / Suicide โœ…
  • Senior Self Assessment
  • Senna ๐Ÿ’Š
  • Septic Abortion โœ…
  • Septic arthritis โœ…
  • Seronegative Spondyloarthropathies
  • Serotonin syndrome
  • Serplulimab
  • Serratia
  • Sevelamer ๐Ÿ’Š
  • Severe combined immunodeficiency disorders
  • Shaft of Ulna Fracture
  • Sheehans syndrome
  • Shigella characteristics
  • Shigellosis (Bacillary Dysentery)
  • Shock in Pregnancy
  • Short QT Syndrome
  • Short Synacthen test (SST)
  • Shortness of Breath History (OSCE focused) ๐Ÿซ
  • Shoulder Anterior Dislocations
  • Shoulder Joint Structure and Form
  • Shoulder: Posterior Dislocation
  • Sick Child/Neonate
  • Sick Euthyroid Syndrome โœ…
  • Sick Sinus Syndrome (Tachy-Brady syndrome)
  • Sickle Cell Disease
  • Sideroblastic Anaemia
  • Sigmoid and Caecal Volvulus Adults
  • Sildenafil (Viagra) ๐Ÿ’Š
  • Silicosis
  • Simvastatin ๐Ÿ’Š
  • Sinus Bradycardia
  • Sinus Node disease
  • Sinus Tachycardia
  • Sinus arrhythmia
  • Sitagliptin ๐Ÿ’Š
  • Sitosterolemia
  • Sjรถgrenโ€™s syndrome
  • Skin Infections due to Fungi ๐Ÿฆ 
  • Skin Pathology and Description and Examination
  • Skin Treatments
  • Skin Ulcers
  • Skin and soft tissue and bone infections โœ…
  • Skin or subcutaneous lump
  • Skull Anatomy
  • Sleep physiology
  • Slipped Upper Femoral Epiphysis (SUFE)
  • Small Bowel Obstruction (Adults)
  • Small for Gestational Age (SGA)
  • Small vessel disease
  • Smallpox
  • Smoke Inhalation
  • Smoking and Its Consequence
  • Smooth and Rough Endoplasmic Reticulum
  • Smouldering Myeloma
  • Snake Bites
  • Sneddon Syndrome
  • Sodium Bicarbonate (NaHCO3)
  • Sodium Nitroprusside ๐Ÿ’Š
  • Sodium Physiology
  • Sodium Picosulfate ๐Ÿ’Š
  • Sodium Potassium ATPase pump
  • Sodium Thiopental - Sodium Thiopentone ๐Ÿ’Š
  • Sodium Valproate (Epilim Depakote) ๐Ÿ’Š
  • Sodium Zirconium Cyclosilicate (Lokelma)
  • Sodium Zirconium Cyclosilicate ๐Ÿ’Š
  • Soft Tissue Injury
  • Soft tissue : Cut finger
  • Soft tissue injuries (sprains, strains)
  • Solifenacin ๐Ÿ’Š
  • Solitary Pulmonary Nodule
  • Somatisation
  • Somatisation/ medically unexplained physical symptoms
  • Sore throat
  • Sotalol Hydrochloride ๐Ÿ’Š
  • Speech and language problems
  • Spina Bifida
  • Spinal Cord Arteriovenous Malformations
  • Spinal Cord Compression
  • Spinal Cord Haematoma
  • Spinal Cord Infarction
  • Spinal Cord Injury / Malignant Spinal Cord Compression (MSCC)
  • Spinal Fracture
  • Spinal Fractures: assessment & management
  • Spinal Muscular Atrophy (SMA) ๐Ÿง 
  • Spinal Stenosis
  • Spinal Tracts
  • Spinal and Epidural Anaesthesia
  • Spironolactone ๐Ÿ’Š
  • Splenectomy
  • Splenectomy and Hyposplenism
  • Splenic Rupture
  • Splenomegaly Examination (OSCE)
  • Spondylolisthesis
  • Spontaneous Bacterial Peritonitis
  • Spontaneous Pneumothorax
  • Spontaneous intracranial hypotension
  • Squamous Cell Carcinoma
  • Squint
  • St John's Wort ๐Ÿ’Š
  • Staphylococcal Infections
  • Staphylococcus aureus
  • Staphylococcus epidermidis
  • Staphylococcus saprophyticus
  • Statin ๐Ÿ’Š
  • Status Epilepticus (Epilepsy/Seizure)
  • Stavudine (Zerit) d4T ๐Ÿ’Š
  • Stem Cell Transplantation
  • Sterno-Clavicular Joint Dislocation
  • Steroid-responsive encephalopathy associated with autoimmune thyroiditis (Hashimoto's Encephalopathy)
  • Stiff Person Syndrome
  • Strabismus (Lazy Eye)
  • Streptobacillus moniliformis
  • Streptococcal Infections
  • Streptococcus - anaerobes
  • Streptococcus Pneumoniae (Pneumococcus)
  • Streptococcus agalactiae Group B
  • Streptococcus milleri
  • Streptococcus pyogenes Group A
  • Streptococcus viridans
  • Streptokinase ๐Ÿ’Š
  • Streptomycin ๐Ÿ’Š
  • Stridor
  • Stroke
  • Stroke - Epidemiology and risk factors
  • Stroke - General Management
  • Stroke Collaterals
  • Stroke Crib sheets
  • Stroke MRI Basics
  • Stroke Mimics And Chameleons
  • Stroke Penumbra
  • Stroke Recrudescence
  • Stroke Related Cerebral Perfusion
  • Stroke Risk Factors
  • Stroke Thrombolysis
  • Stroke Vascular Anatomy
  • Stroke and Vision
  • Strongyloides stercoralis (threadworm)
  • Strontium ๐Ÿ’Š
  • Sturge Weber syndrome
  • Subacute Thyroiditis
  • Subarachnoid Haemorrhage โœ…
  • Subclavian Steal Syndrome
  • Subclavian Vein Thrombosis (SCVT)
  • Subdural haematoma
  • Subfertility in Men
  • Subfertility in Women
  • Substance misuse
  • Substance use disorder
  • Sucralfate ๐Ÿ’Š
  • Sudden Cardiac Death (SCD)
  • Sudden Sensorineural Hearing loss (SNHL)
  • Sugammadex
  • Suicidal thoughts
  • Suicide
  • Sulfasalazine - Sulphasalazine ๐Ÿ’Š
  • Sumatriptan
  • Summary of Emergency Conditions in Oncology
  • Superior Mesenteric Artery (SMA) Syndrome
  • Superior Sagittal Sinus Thrombosis
  • Superior Vena Caval Obstruction syndrome
  • Superior and Inferior Vena Cava
  • Supracondylar Femur Fractures
  • Supracondylar Humerus Fractures
  • Supraspinatus tendonitis
  • Supraventricular Tachycardia (SVT)
  • Surgery Revision Guide โœ…
  • Surgical Cricothyroidotomy
  • Surgical Liaison in Older Patients Quality & Silver Trauma (UK)
  • Surgical Stomas
  • Surgical prophylaxis
  • Surgical site infection
  • Susac syndrome
  • Suxamethonium ๐Ÿ’Š
  • Sweat Test
  • Swiss Cheese Model of Patient Harm
  • Sydenhams chorea
  • Sympathetic Ophthalmia
  • Synchronised DC Cardioversion
  • Syncope
  • Syndrome of Inappropriate ADH (SIADH) secretion
  • Syphilis
  • Syringobulbia
  • Syringomyelia
  • Systemic Amyloid in Pathology
  • Systemic Amyloidosis
  • Systemic Lupus Erythematosus (SLE) โœ…
  • Systemic Mastocytosis
  • Systemic Sclerosis (Scleroderma)
  • T lymphocytes
  • TMN Staging tumours
  • TNF Blockade
  • TNF receptor-associated periodic syndrome
  • TO DO
  • TORCH infections
  • TURP Hyponatraemia syndrome
  • Tabes dorsalis
  • Table showing Visual Field Changes for Examination
  • Tacrolimus ๐Ÿ’Š
  • Tafamidis
  • Takayasu arteritis (pulseless disease)
  • Takotsubo Cardiomyopathy โค๏ธ
  • Tamoxifen
  • Tamsulosin (Flomax) ๐Ÿ’Š
  • Tangier Disease
  • Tardive Dyskinesias
  • Tay-Sachs disease
  • Tazocin (Tazobactam - Piperacillin) ๐Ÿ’Š
  • Teicoplanin ๐Ÿ’Š
  • Telogen Effluvium
  • Telomeres
  • Temazepam ๐Ÿ’Š
  • Temozolomide (Temodal) ๐Ÿ’Š
  • Temporal (Giant Cell GCA) Arteritis โœ…
  • Tenecteplase ๐Ÿ’Š
  • Tennis Elbow (Lateral Epicondylitis)
  • Tensilon test
  • Tension Headache
  • Tension Pneumothorax
  • Teplizumab (Tzield)
  • Terbutaline
  • Teriparatide ๐Ÿ’Š
  • Terlipressin
  • Tertiary hyperparathyroidism
  • Testicular Cancer
  • Testicular Torsion โœ…
  • Testing
  • Testosterone
  • Tests in Liver Disease: Usefulness and Interpretation
  • Tetrabenazine
  • Tetracosactide (Synacthen)
  • Tetracyclines ๐Ÿ’Š
  • Tetralogy of Fallot โœ…
  • Thalamic Haemorrhage
  • Thalamic Pain Syndrome or Dejerineโ€“Roussy Syndrome
  • Thalamic Strokes
  • Thalamus
  • Thalidomide ๐Ÿ’Š
  • The Aorta
  • The Axillary Artery
  • The Brachial Artery
  • The Brachial plexus
  • The Carotid Artery
  • The Cell Nucleus
  • The Cell membrane
  • The Circle of Willis
  • The Deteriorating Patient
  • The Eye and Systemic Disease
  • The Face ๐Ÿ˜€
  • The Femoral Artery
  • The Fetal Head and Vaginal Birth
  • The Iliac arteries
  • The Popliteal artery
  • The Radial and Ulnar Arteries
  • The Subclavian Artery
  • The Vertebral and Basilar Arteries
  • The unconscious (comatose) patient
  • Theophylline toxicityโš ๏ธ
  • Theophylline ๐Ÿ’Š
  • Thiamine ๐Ÿ’Š
  • Thoracic outlet syndrome
  • Thrombocytopenia
  • Thrombocytosis (High Platelets)
  • Thrombophilia (Prothrombotic) testing
  • Thrombotic Thrombocytopenic purpura (TTP)
  • Thunderclap Headache โœ…
  • Thyroglossal Cyst (Children)
  • Thyroid Cancer
  • Thyroid Eye Disease
  • Thyroid Function Tests and antibodies
  • Thyroid Storm - Thyrotoxic crisis
  • Thyroid Surgery (Thyroidectomy)
  • Thyroid nodules โœ…
  • Thyrotoxicosis and Hyperthyroidism
  • Tiagabine ๐Ÿ’Š
  • Ticagrelor
  • Tick Paralysis
  • Tick-borne relapsing fever (Borrelia duttonii)
  • Tilt Table Testing in Reflex Syncope
  • Timolol
  • Tinea Corporis and Tinea faciei(Ringworm) โœ…
  • Tinea capitis
  • Tinea imbricata
  • Tinidazole
  • Tinnitus
  • Tinzaparin (Innohep)๐Ÿ’Š
  • Tiotropium (Spiriva) ๐Ÿ’Š
  • Titre - Titer
  • Tocilizumab ๐Ÿ’Š
  • Tolbutamide
  • Tolcapone ๐Ÿ’Š
  • Toll-like Receptors (TLRs): Recognition Receptors and Triggers of Innate Immunity
  • Tolosa Hunt Syndrome
  • Tolterodine ๐Ÿ’Š
  • Tolvaptan
  • Tongue tie - ankyloglossia (Children)
  • Tonsilitis
  • Tonsillectomy Adenoidectomy
  • Topical Steroids
  • Topiramate (Topamax) ๐Ÿ’Š
  • Torsades de pointes TdP (Polymorphic VT)
  • Total Anomalous Pulmonary Venous Drainage โค๏ธ
  • Toxic Epidermal Necrolysis (TEN) and Stevens-Johnson syndrome
  • Toxic Megacolon
  • Toxic Shock Syndrome โœ…
  • Toxic Thyroid Adenoma
  • Toxicological Emergencies
  • Toxoplasmosis
  • Tramadol ๐Ÿ’Š
  • Tranexamic Acid ๐Ÿ’Š
  • Transcatheter aortic valve implantation/replacement (TAVI/R)
  • Transcutaneous Pacing
  • Transfer Factor (TLCO / DLCO)
  • Transferrin
  • Transfers of folder frail or disabled patients
  • Transient Global Amnesia (TGA)
  • Transient Ischaemic Attack (TIA)
  • Transient Monocular Blindness (TMB)
  • Transjugular Intrahepatic portosystemic shunt (TIPS)
  • Transposition of the great arteries (TGA)
  • Transvenous Pacing (Temporary)
  • Transverse myelitis
  • Trastuzumab (Herceptin) ๐Ÿ’Š
  • Trauma
  • Trauma : Haemorrhage โœ…
  • Trauma Physiology
  • Trauma: Cardiac Arrest
  • Trauma: Epilepsy - Post Traumatic
  • Trauma: Flail Chest Rib fractures
  • Trauma: Initial Assessment and Management
  • Trauma: Post traumatic stress disorder
  • Trauma: Resuscitative Thoracotomy
  • Trauma: Silver Trauma in older patients
  • Trauma: Spinal Injury
  • Trauma: Thoracic Assessment and Management
  • Trauma:Prehospital
  • Traumatic Auricular Haematoma (Cauliflower ear)
  • Travel health advice
  • Travellers Diarrhoea
  • Trazodone ๐Ÿ’Š
  • Treatment Escalation Plans (TEP) in the Elderly
  • Treponema
  • Tretinoin (All-trans-retinoic acid (ATRA) )
  • Triangles of the neck
  • Trichinellosis
  • Trichomoniasis Vaginalis โœ…
  • Tricuspid Atresia
  • Tricuspid Regurgitation
  • Tricuspid Stenosis โค๏ธ
  • Tricyclic Antidepressant Toxicity
  • Tricyclic antidepressants
  • Trigeminal Nerve (Vth Nerve)
  • Trigeminal Neuralgia
  • Trihexyphenidyl (benzhexol)
  • Trimethoprim ๐Ÿ’Š
  • Trinucleotide (triplet) Repeat Disorders
  • Trochlear Nerve (VIth nerve)
  • Tropheryma whipplei (Whipple disease)
  • Tropical Sprue
  • Truncus Arteriosus (Children) โค๏ธ
  • Tuberculosis
  • Tuberculous Meningitis
  • Tuberous sclerosis
  • Tularaemia (Francisella tularensis)
  • Tumour Lysis Syndrome
  • Tumour Necrosis Factor
  • Tumour Suppressor Genes
  • Tumour markers
  • Turcot's syndrome (Brain tumor polyposis syndrome)
  • Turners syndrome (Children)
  • Twins
  • Tympanic (Eardrum) membrane perforation
  • Types of Hypersensitivity Reactions
  • Types of Joints
  • Types of Organ Transplant Rejection
  • Typhoid and Paratyphoid fever (Enteric Fever)
  • Tyrosine Kinase receptors
  • USMLE High Yield
  • USMLE Lab Values
  • Ubiquitin
  • Ulcerative Colitis โœ…
  • Ulnar nerve
  • Ultrasound Physics & Imaging
  • Undifferentiated Inflammatory Arthritis (Children)
  • Unintentional weight loss (Adults)
  • Unprotected Sex and Emergency Contraception (EC)
  • Unsteadiness
  • Unwanted pregnancy and termination
  • Upper Gastrointestinal Bleed โœ…
  • Upper Limb fractures and injuries
  • Upper and Lower Limb Neurology (OSCE)
  • Upper and Lower Motor Neuron signs
  • Upper limb Soft Tissue Injuries
  • Upper respiratory tract infection
  • Urea Cycle defects
  • Urethral Discharge (Urethritis)
  • Urethral syndrome
  • Urinary Catheterisation
  • Urinary Incontinence โœ…
  • Urinary Obstruction
  • Urinary Tract Infection (UTI Children)
  • Urinary Tract Obstruction
  • Urinary symptoms
  • Urothelial carcinoma (Bladder cancer plus others) โœ…
  • Urticaria
  • Usher syndrome
  • Uterine fibroids
  • Uveitis โœ…
  • VIPomas
  • VTE Prophlyaxisโœ…
  • Vaccine in Older Patients
  • Vaginal Candidiasis
  • Vaginal Carcinoma
  • Vaginal Prolapse
  • Vagus Nerve (Cranial Nerve X)
  • Valaciclovir ๐Ÿ’Š
  • Valsartan ๐Ÿ’Š
  • Vancomycin ๐Ÿ’Š
  • Variable rate intravenous insulin infusion VRIII ๐Ÿ’Š
  • Variant (Prinzmetal) Angina
  • Variant Creutzfeldt Jakob disease
  • Varicella Cerebral Vasculopathy
  • Varicose veins โœ…
  • Variegate Porphyria
  • Vasa Praevia
  • Vascular Dementia
  • Vascular Surgery: Introduction
  • Vascular access for haemodialysis
  • Vasculitis - General Issues and Classification
  • Vasopressin (AVP) Antidiuretic hormone
  • Vasovagal syncope (OSCE focused)
  • Vaughan-Williams Classification
  • Vecuronium ๐Ÿ’Š
  • Vedolizumab (Entyvio)
  • Venepuncture (Blood tests)
  • Venlafaxine ๐Ÿ’Š
  • Venous Insufficiency and Leg Ulcers
  • Venous Supply of the leg
  • Venous Thromboembolism Pregnancy and Puerperium
  • Venous access Cannulas OSCE
  • Venous and Arterial Ulcers and Other Lower Limb Ulcers
  • Venous and Arterial and Pressure Ulcers
  • Ventilator associated pneumonia (VAP)
  • Ventricular Fibrillation
  • Ventricular Septal defect (VSD) โค๏ธ
  • Ventricular Tachycardia VT โœ…
  • Ventricular ectopic beats
  • Verapamil ๐Ÿ’Š
  • Vertebral artery dissection
  • Vesicoureteric reflux (VUR) (Children)
  • Vestibulocochlear Nerve (Cranial Nerve VIII)
  • Vexas Syndrome
  • Vibrio parahaemolyticus
  • Vibrio vulnificus
  • Vibrio vulnificus
  • Vigabatrin (Sabril) ๐Ÿ’Š
  • Vinblastine
  • Vincent's angina
  • Vincristine
  • Violence Aggression and Conflict Resolution
  • Viral Gastroenteritis and other causes
  • Viral Haemorrhagic Fevers (VHF)
  • Viral Meningitis
  • Viral exanthema โœ…
  • Viral hepatitides
  • Viruses and their infections
  • Visual Basic Programming
  • Visual Hallucinations in the elderly
  • Visual acuity
  • Vitamin A Deficiency
  • Vitamin B1 Thiamine deficiency
  • Vitamin B12 deficiency
  • Vitamin B12 excess
  • Vitamin C deficiency (Scurvy)
  • Vitamin D (1,25 OH2)
  • Vitamin D 25 (OH) D Testing
  • Vitamin D Physiology
  • Vitamin D Replacement
  • Vitamin D resistant rickets (Children)
  • Vitamin K (Phytomenadione)
  • Vitamin K deficiency
  • Vitiligo
  • Vocal Cord Dysfunction / Inducible Laryngeal Obstruction (ILO) โœ…
  • Voltarol (Diclofenac)
  • Volvulus (Children)
  • Vomiting
  • Von Gierke Disease (Children)
  • Von Hippel Lindau
  • Von Willebrand Disease
  • Vulval itching and lesions
  • Vulval/vaginal lump
  • Waardenburg's syndrome
  • Waldenstrom Macroglobulinaemia
  • Warfarin ๐Ÿ’Š
  • Water Physiology
  • Waterlow pressure ulcer risk assessment score
  • Watershed Infarcts
  • Waveform COโ‚‚ capnography
  • Weakness in Adults โ€“ Causes, Features, and Diagnosis ๐Ÿง‘โ€โš•๏ธ
  • Weight Gain Adults
  • Wellbeing Checks in General Practice for GPs
  • Wellens Syndrome
  • Werdnigโ€“Hoffman Disease (Spinal Muscular Atrophy Type 1)
  • Wernicke Korsakoff Syndrome
  • Wheeze: Clinical Approach and Considerations
  • White Blood Cells
  • Williams Syndrome (Children)
  • Wilson disease
  • Windows Powershell
  • Wiskott-Aldrich syndrome (Children)
  • Wolff-Parkinson White syndrome (WPW) AVRT โœ…
  • Wolfram syndrome (DIDMOAD)
  • Wound Management
  • Wound healing
  • Wrist Injury: Smithโ€™s Fracture
  • Wrist Joint Structure and Form
  • X linked Agammaglobulinaemia (Bruton)
  • X linked Hypophosphataemic rickets โœ…
  • X-Linked Recessive Inheritance
  • X-linked Ichthyosis
  • X-linked lymphoproliferative disease (Children)
  • Xanthelasma โœ…
  • Xanthochromia
  • Xeroderma pigmentosum
  • Yaws (Frambesia) Treponema pertenue
  • Yellow Fever
  • Yellow Nail Syndrome
  • Yersinia enterocolitica
  • Yersinia pestis - Bubonic Plague
  • Yersinia pseudotuberculosis
  • Young Mania Rating Scale
  • ZZ_Abnormal char
  • Zidovudine (Retrovir) AZT - ZDV ๐Ÿ’Š
  • Zieve's syndrome
  • Zika virus
  • Zinc deficiency
  • Zolbetuximab (Vyloy)
  • Zoledronic acid (Zoledronate) ๐Ÿ’Š
  • Zollinger Ellison syndrome
  • Zolpidem ๐Ÿ’Š
  • Zopiclone ๐Ÿ’Š
  • eGFR
  • intedanib (Ofevยฎ) ๐Ÿ’Š
  • zNecrobiosis
  • โค๏ธ Peripartum cardiomyopathy โœ…
  • ๏ธCauses of a Limp in Adults
  • ๐Ÿฝ๏ธ Malnutrition in Children
  • ๐Ÿ’“Atrial Fibrillation (AF)โœ…
  • ๐Ÿ’“Atrial flutter โœ…
  • ๐Ÿ“Š Thromboelastography (TEG)
  • ๐Ÿ”„ ROTEM - Rotational Thromboelastometry
  • ๐Ÿฉบ Complex Regional Pain Syndrome (CRPS)
  • ๐Ÿฉบ Urinary Tract Infection (UTI) (OSCE focused)
  • Download the amazing global Makindo app: โœ… Means NICE/National Guidelines 2026 compliant Android | Apple
    MEDICAL DISCLAIMER: Educational use only. Not for diagnosis or management. See below for full disclaimer.

    Community Acquired Pneumonia ๐Ÿซ โœ…

    Community-acquired pneumonia (CAP) is an acute infection of the lung parenchyma acquired outside hospital. It causes inflammation of the alveoli and interstitium, producing consolidation, impaired gas exchange, and systemic illness. In UK practice, the priorities are to recognise CAP early, assess severity, start appropriate antibiotics promptly, and identify complications or alternative diagnoses.

    ๐Ÿ“– About CAP
    • CAP usually presents with acute cough, fever, breathlessness, and new focal chest signs.
    • It ranges from mild illness managed in the community to severe sepsis and respiratory failure requiring critical care.
    • Common pathogens in adults include Streptococcus pneumoniae, Haemophilus influenzae, respiratory viruses, and so-called atypical organisms such as Mycoplasma pneumoniae and Legionella.
    • Older age, frailty, chronic lung disease, smoking, alcohol excess, and immunocompromise increase risk of severe disease.
    ๐Ÿงฌ Pathophysiology
    • Micro-organisms reach the distal airways, usually by microaspiration of colonising upper-airway organisms.
    • Local host defences are overcome, leading to alveolar inflammation and accumulation of inflammatory exudate.
    • This causes consolidation, reduced ventilation of affected lung units, and V/Q mismatch with hypoxaemia.
    • Systemic inflammation may cause fever, tachycardia, delirium, hypotension, and sepsis.
    ๐Ÿ”Ž Types of Pneumonia (Pathology)
    • ๐ŸŒ‘ Lobar Pneumonia: Entire lobe affected, usually S. pneumoniae. Pathological progression through 4 stages (see below).
    • ๐ŸŸก Bronchopneumonia: Patchy, often basal consolidation spreading from bronchioles. Elderly, bedridden, aspiration-prone.
    • ๐ŸŒซ๏ธ Interstitial (Atypical): Alveolar septal inflammation; usually viral (influenza, RSV) or atypical bacteria (Mycoplasma).
    • ๐ŸŸข Necrotising Pneumonia: Severe destruction ยฑ abscess (e.g. S. aureus, Klebsiella).
    • ๐Ÿฆ  Opportunistic: Pneumocystis jirovecii in AIDS, fungal pneumonias (Aspergillus, Cryptococcus).
    ๐Ÿ“† Classical Stages of Lobar Pneumonia
    • 1๏ธโƒฃ Congestion (Day 1โ€“2): Heavy, red lung. Vascular engorgement, intra-alveolar fluid, few neutrophils, numerous bacteria.
    • 2๏ธโƒฃ Red Hepatization (Day 3โ€“4): Firm, liver-like lung. Alveoli packed with neutrophils, RBCs, fibrin โ†’ red, airless tissue.
    • 3๏ธโƒฃ Gray Hepatization (Day 5โ€“7): RBC breakdown โ†’ gray-brown tissue. Dense fibrinopurulent exudate, neutrophil dominance.
    • 4๏ธโƒฃ Resolution (Day 8+): Enzymatic digestion, macrophage clearance โ†’ lung architecture restored (or scarred if incomplete).
    ๐Ÿงซ Histopathology
    • Lobar Pneumonia: Intra-alveolar neutrophilic infiltrate, fibrin, RBCs. Thickened alveolar septa. Exudate fills airspaces.
    • Bronchopneumonia: Suppurative inflammation centred on bronchi/bronchioles, patchy consolidation.
    • Interstitial Pneumonia: Mononuclear infiltrates (lymphocytes, macrophages) in alveolar walls; airspaces often clear.
    • Viral Pneumonia: Cytopathic effects (giant cells in RSV, inclusion bodies in CMV).
    • Pneumocystis jirovecii: Foamy intra-alveolar exudate, cup-shaped organisms on silver stain.
    โš ๏ธ Risk factors
    • Older age and frailty
    • Chronic respiratory disease (for example COPD or bronchiectasis)
    • Smoking and excess alcohol
    • Neurological disease, aspiration risk, poor swallow
    • Immunosuppression
    • Diabetes, heart failure, chronic kidney disease, chronic liver disease
    ๐Ÿฉบ Clinical features
    • Fever, rigors, sweats
    • Cough, with or without sputum
    • Breathlessness
    • Pleuritic chest pain
    • New focal chest signs such as crackles, bronchial breathing, or reduced air entry
    • Systemic upset, reduced exercise tolerance, anorexia
    • Older adults may present atypically with confusion, falls, or functional decline
    ๐Ÿ” Differential diagnosis
    • Pulmonary embolism
    • Acute heart failure / cardiogenic pulmonary oedema
    • Acute bronchitis
    • Exacerbation of asthma or COPD
    • Pneumothorax
    • Lung malignancy, especially in non-resolving focal change
    • Interstitial lung disease or organising pneumonia
    ๐Ÿ“Š Severity assessment
    • Use clinical judgement together with a validated severity score.
    • In adults, CURB-65 is commonly used:
      • Confusion
      • Urea >7 mmol/L
      • Respiratory rate โ‰ฅ30/min
      • Blood pressure: systolic <90 mmHg or diastolic โ‰ค60 mmHg
      • Age 65 or over
    • Higher scores suggest greater mortality risk and are used to help decide on hospital admission and treatment intensity.
    • Do not rely on CURB-65 alone; oxygen requirement, frailty, comorbidity, sepsis, and social factors also matter.
    ๐Ÿš‘ When to admit
    • Moderate or high severity CAP
    • Hypoxaemia or respiratory distress
    • Sepsis or haemodynamic instability
    • Inability to take oral therapy or maintain hydration
    • Significant frailty, delirium, or poor support at home
    • Diagnostic uncertainty or concern about complications
    ๐Ÿ”Ž Investigations
    • Observations: respiratory rate, oxygen saturation, pulse, blood pressure, temperature, mental state
    • Chest X-ray if CAP is suspected and the diagnosis is uncertain, symptoms are significant, or hospital assessment is needed
    • Blood tests: FBC, U&E, CRP, LFTs as clinically indicated in secondary care
    • Blood cultures in moderate/high severity CAP or if sepsis is suspected
    • Sputum culture if productive cough and moderate/high severity disease or failure to improve
    • Urinary antigen testing for pneumococcus or Legionella may be useful in selected admitted patients, especially severe CAP
    • Viral testing may be appropriate depending on season, outbreak setting, or severity
    • CT chest is not routine, but may be helpful if complications, malignancy, empyema, or alternative diagnoses are suspected
    ๐Ÿ–ผ๏ธ Imaging
    • Lobar consolidation suggests classical bacterial CAP, especially pneumococcal disease.
    • Patchy or multilobar shadowing may occur in bronchopneumonia or severe disease.
    • Interstitial or ground-glass change may suggest viral or atypical infection, but imaging patterns are not fully specific.
    • Pleural effusion, cavitation, or non-resolving shadowing should prompt further review.

    Lobar pneumonia

    Interstitial pattern in pneumonia

    ๐Ÿ’Š Management
    • Start antibiotics as soon as possible after diagnosis; in hospital this should be within 4 hours of presentation.
    • Choose antibiotic according to severity, allergy status, local antimicrobial guidance, recent antibiotic exposure, and risk factors for resistant or unusual pathogens.
    • Give oxygen if hypoxic, aiming for appropriate oxygen targets.
    • Provide fluids, analgesia, antipyretics, and venous thromboembolism prophylaxis where indicated.
    • Review for sepsis and escalate care early if deteriorating.
    • If IV antibiotics are started, review regularly and switch to oral treatment when clinically appropriate.
    • For adults with CAP, stop antibiotics after 5 days unless microbiology suggests otherwise or the person is not clinically stable.
    ๐Ÿ’Š Community-Acquired Pneumonia (CAP) โ€“ Follow Local Antibiotic Guidance

    Start antibiotics as soon as possible after diagnosis. In adults presenting to hospital, give antibiotics within 4 hours of presentation. For most adults with CAP, stop antibiotics after 5 days unless microbiology suggests a longer course or the patient is not clinically stable.

    Severity First-line If penicillin allergy / unsuitable Notes
    Low-severity CAP Amoxicillin 500 mg PO three times daily for 5 days Doxycycline 200 mg PO on day 1, then 100 mg PO once daily for 4 more days
    OR
    Clarithromycin 500 mg PO twice daily for 5 days
    OR
    Erythromycin 500 mg PO four times daily for 5 days (preferred macrolide in pregnancy)
    Higher doses of amoxicillin may be used in severe infection - check BNF/local policy.
    Moderate-severity CAP Amoxicillin 500 mg PO three times daily for 5 days
    PLUS if atypical pathogens suspected:
    Clarithromycin 500 mg PO twice daily for 5 days
    OR
    Erythromycin 500 mg PO four times daily for 5 days (if pregnant)
    Doxycycline 200 mg PO on day 1, then 100 mg PO once daily for 4 more days
    OR
    Clarithromycin 500 mg PO twice daily for 5 days
    Moderate-severity CAP often needs admission or close supervision.
    High-severity CAP Follow local hospital antimicrobial guideline urgently Follow local hospital antimicrobial guideline urgently Severe CAP usually requires IV antibiotics, broader cover, senior review, and sepsis / critical care assessment.
    ๐Ÿฉบ Practical prescribing notes
    • Use CURB-65 with clinical judgement to assess severity.
    • Review IV antibiotics early and switch to oral when clinically appropriate.
    • Check renal function, allergy history, pregnancy status, and drug interactions.
    • Consider local resistance patterns, recent antibiotic exposure, aspiration risk, and risk of unusual pathogens.
    • Do not keep antibiotics going automatically beyond 5 days without a reason.

    ๐Ÿ’ก Do not hard-code antibiotic regimens without checking local antimicrobial policy. NICE gives the framework for timing, duration, review, and route, but hospitals usually specify exact antibiotic combinations locally.

    โš ๏ธ Complications
    • Pleural effusion and empyema
    • Lung abscess or necrotising pneumonia
    • Sepsis and septic shock
    • Respiratory failure
    • ARDS
    • Bronchiectatic damage after severe infection
    • Delirium, falls, and deconditioning in older adults
    ๐Ÿฅ When to seek senior / ICU input
    • Increasing oxygen requirement or worsening work of breathing
    • Hypotension or sepsis despite fluids
    • Confusion, exhaustion, rising COโ‚‚, or worsening acidosis
    • Multilobar disease, rapidly progressive infiltrates, or respiratory failure
    • Need for ventilatory support or vasopressors
    ๐Ÿ” Follow-up
    • Clinical review is important if symptoms worsen or fail to improve as expected.
    • Consider repeat chest X-ray, especially if symptoms persist, recovery is incomplete, or underlying malignancy is a concern.
    • People who smoke, older adults, and those with persistent focal change may need follow-up imaging to ensure resolution.
    ๐Ÿ›ก๏ธ Prevention
    • Smoking cessation
    • Influenza vaccination and pneumococcal vaccination where indicated
    • Optimise management of chronic lung disease and swallowing risk
    • Reduce alcohol excess and frailty-related aspiration risk
    ๐Ÿ“š References

    Categories